You have no items in your shopping cart.
DCN Antibody
Description
Research Area
Images & Validation
−| Tested Applications | IHC |
|---|---|
| Reactivity | Human |
Key Properties
−| Antibody Type | Recombinant Antibody |
|---|---|
| Host | Rabbit |
| Clonality | Monoclonal |
| Isotype | IgG |
| Clone No. | DCN/7031R |
| Immunogen | Recombinant human Decorin protein fragment (around aa212-336) (exact sequence is proprietary) |
| Target | DCN |
| Source/Expression System | CHO cells |
| Molecular Weight | 43kDa |
| Conjugation | Unconjugated |
Storage & Handling
−| Storage | Maintain refrigerated at 2-8°C for up to 2 weeks. For long term storage store at -20°C in small aliquots to prevent freeze-thaw cycles. |
|---|---|
| Form/Appearance | 200ug/ml of Ab produced in CHO cell mammalian-based expression system. Prepared in 10mM PBS with 0.05% rAlbumin & 0.05% azide. Also available WITHOUT rAlbumin & azide at 1.0mg/ml. |
| Expiration Date | 12 months from date of receipt. |
| Disclaimer | For research use only |
Alternative Names
−Similar Products
−DCN Antibody (Center) [orb1929956]
FC, IHC-P, WB
Bovine, Porcine
Human, Mouse
Rabbit
Polyclonal
Unconjugated
50 μl, 100 μlDCN Antibody [orb2309606]
IHC
Human
Mouse
Monoclonal
Unconjugated
100 μg, 20 μg, 100 μg (without BSA and Azide)

Quality Guarantee
Explore bioreagents carefree to elevate your research. All our products are rigorously tested for performance. If a product does not perform as described on its datasheet, our scientific support team will provide expert troubleshooting, a prompt replacement, or a refund. For full details, please see our Terms & Conditions and Buying Guide. Contact us at support@biorbyt.com.

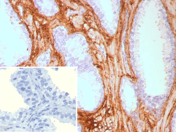
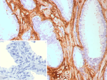
Formalin-fixed, paraffin-embedded human prostate carcinoma stained with Decorin Rabbit Recombinant Monoclonal Antibody (DCN/7031R).

SDS-PAGE Analysis of Purified Decorin Rabbit Recombinant Monoclonal Antibody (DCN/7031R). Confirmation of Purity and Integrity of Antibody.
Quick Database Links
UniProt Details
−Documents Download
Request a Document
DCN Antibody (orb1410287)
Participating in our Biorbyt product reviews program enables you to support fellow scientists by sharing your firsthand experience with our products.
Login to Submit a Review










