You have no items in your shopping cart.
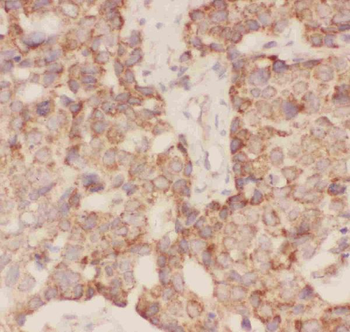
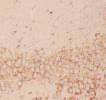
FSHB Antibody
SKU: orb751309
Description
Research Area
Signal Transduction
Images & Validation
−
| Tested Applications | FC, IF, IHC, WB |
|---|---|
| Reactivity | Human |
Key Properties
−| Antibody Type | Recombinant Antibody |
|---|---|
| Host | Rabbit |
| Clonality | Monoclonal |
| Isotype | IgG |
| Clone No. | FSHb/2033R |
| Immunogen | Recombinant hFSH beta sub-unit |
| Target | FSHB |
| Source/Expression System | HEK293 cells |
| Molecular Weight | 22kDa |
| Conjugation | Unconjugated |
Storage & Handling
−| Storage | Maintain refrigerated at 2-8°C for up to 2 weeks. For long term storage store at -20°C in small aliquots to prevent freeze-thaw cycles. |
|---|---|
| Form/Appearance | 200ug/ml of Ab purified from Bioreactor Concentrate by Protein A/G. Prepared in 10mM PBS with 0.05% rAlbumin & 0.05% azide. Also available WITHOUT rAlbumin & azide at 1.0mg/ml. |
| Concentration | 200 μg/ml |
| Expiration Date | 12 months from date of receipt. |
| Disclaimer | For research use only |
Alternative Names
−Anti-Follicle stimulating hormone beta polypeptide antibody, anti-Follicle stimulating hormone beta subunit antibody, anti-Follitropin beta chain antibody, anti-Follitropin subunit beta antibody, anti-FSH-B antibody, anti-FSH-beta antibody, anti-FSHB antibody, anti-FSHbeta antibody
Similar Products
−FSHB/FSH Antibody (Center) [orb1936974]
FC, WB
Human, Mouse, Rat
Rabbit
Polyclonal
Unconjugated
100 μl, 50 μlFSH beta/FSHB Rabbit Polyclonal Antibody [orb196276]
IHC, WB
Human, Mouse
Rabbit
Polyclonal
Unconjugated
100 μg

Quality Guarantee
Explore bioreagents carefree to elevate your research. All our products are rigorously tested for performance. If a product does not perform as described on its datasheet, our scientific support team will provide expert troubleshooting, a prompt replacement, or a refund. For full details, please see our Terms & Conditions and Buying Guide. Contact us at support@biorbyt.com.
Quick Database Links
Gene Symbol
FSHB
UniProt
UniProt Details
− No UniProt data available
Documents Download
Datasheet
Product Information
Request a Document
Protocol Information
WB
Western Blot (IB, immunoblot)
IHC
Immunohistochemistry
FC
Flow Cytometry
IF
Immunofluorescence
FSHB Antibody (orb751309)
Based on 0 reviews
Participating in our Biorbyt product reviews program enables you to support fellow scientists by sharing your firsthand experience with our products.
Login to Submit a Review






