You have no items in your shopping cart.
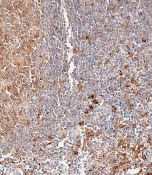
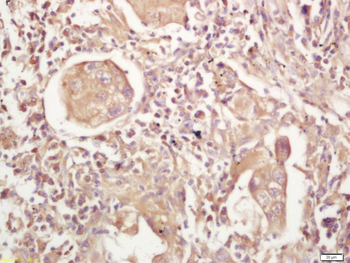
HLA-DPB1 Antibody
Description
Images & Validation
−
| Tested Applications | FC, IF, IHC, WB |
|---|---|
| Reactivity | Human |
Key Properties
−| Antibody Type | Recombinant Antibody |
|---|---|
| Host | Mouse |
| Clonality | Monoclonal |
| Isotype | IgG1 |
| Clone No. | rHLA-Pan/3475 |
| Immunogen | Non-T, non-B human acute lymphoblastic leukemia REH6 cells |
| Target | HLA-DPB1 |
| Source/Expression System | HEK293 cells |
| Molecular Weight | 33-35kDa |
| Conjugation | Unconjugated |
Storage & Handling
−| Storage | Maintain refrigerated at 2-8°C for up to 2 weeks. For long term storage store at -20°C in small aliquots to prevent freeze-thaw cycles. |
|---|---|
| Form/Appearance | 200ug/ml of Ab purified from Bioreactor Concentrate by Protein A/G. Prepared in 10mM PBS with 0.05% rAlbumin & 0.05% azide. Also available WITHOUT rAlbumin & azide at 1.0mg/ml. |
| Disclaimer | For research use only |
Alternative Names
−Similar Products
−MHC Class II Rabbit Polyclonal Antibody [orb101661]
IF, IHC-Fr, IHC-P, WB
Rat
Human, Mouse
Rabbit
Polyclonal
Unconjugated
100 μl, 200 μl, 50 μlHLA-DPB1 Antibody (Center) [orb1936361]
FC, IHC-P, WB
Human
Rabbit
Polyclonal
Unconjugated
100 μl, 50 μlMHC Class II Rabbit Polyclonal Antibody [orb157874]
IF, IHC-Fr, IHC-P, WB
Rat
Human, Mouse
Rabbit
Polyclonal
Unconjugated
50 μl, 100 μl, 200 μlHLA-DPB1, HLA-DQA1 Antibody [orb1252224]
IF, IHC-P, WB
Human
Mouse
Monoclonal
Unconjugated

Quality Guarantee
Explore bioreagents carefree to elevate your research. All our products are rigorously tested for performance. If a product does not perform as described on its datasheet, our scientific support team will provide expert troubleshooting, a prompt replacement, or a refund. For full details, please see our Terms & Conditions and Buying Guide. Contact us at support@biorbyt.com.
Documents Download
Request a Document
Protocol Information
HLA-DPB1 Antibody (orb607962)
Participating in our Biorbyt product reviews program enables you to support fellow scientists by sharing your firsthand experience with our products.
Login to Submit a Review























