You have no items in your shopping cart.
REST Antibody
Description
Research Area
Images & Validation
−| Tested Applications | ELISA, IF |
|---|---|
| Dilution Range | IF:1:50-200 |
| Reactivity | Human |
Key Properties
−| Host | Rabbit |
|---|---|
| Clonality | Polyclonal |
| Isotype | IgG |
| Immunogen | Recombinant Human RE1-silencing transcription factor protein (250-350AA) |
| Target | REST |
| Purification | >95%, Protein G purified |
| Conjugation | Unconjugated |
Storage & Handling
−| Storage | Maintain refrigerated at 2-8°C for up to 2 weeks. For long term storage store at -20°C in small aliquots to prevent freeze-thaw cycles. |
|---|---|
| Form/Appearance | Liquid |
| Buffer/Preservatives | Preservative: 0.03% Proclin 300. Constituents: 50% Glycerol |
| Expiration Date | 12 months from date of receipt. |
| Disclaimer | For research use only |
Alternative Names
−Similar Products
−NRSF/REST antibody [orb315558]
ELISA, ICC, IF, IHC-P
Human, Mouse, Rat
Rabbit
Polyclonal
Unconjugated
100 μgNRSF, REST Protein antibody [orb251478]
ELISA, IHC-P
Human, Mouse, Rat
Rabbit
Polyclonal
Unconjugated
100 μgREST Rabbit Polyclonal Antibody [orb574228]
WB
Bovine, Canine, Equine, Guinea pig, Mouse, Rabbit, Rat
Human
Rabbit
Polyclonal
Unconjugated
100 μlRabbit RCOR3 Antibody [orb1528710]
ICC, IHC, IP, WB
Human, Mouse
Rabbit
Polyclonal
Unconjugated
100 μl, 10 μl

Quality Guarantee
Explore bioreagents carefree to elevate your research. All our products are rigorously tested for performance. If a product does not perform as described on its datasheet, our scientific support team will provide expert troubleshooting, a prompt replacement, or a refund. For full details, please see our Terms & Conditions and Buying Guide. Contact us at support@biorbyt.com.

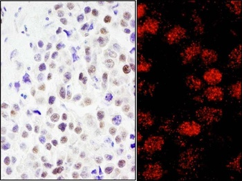
Immunofluorescence analysis of HepG2 cells using REST antibody
Quick Database Links
UniProt Details
−Documents Download
Request a Document
Protocol Information
REST Antibody (orb400908)
Participating in our Biorbyt product reviews program enables you to support fellow scientists by sharing your firsthand experience with our products.
Login to Submit a Review






















