You have no items in your shopping cart.
SH-PTP1 (phospho Tyr536) rabbit pAb Antibody
Description
Images & Validation
−| Tested Applications | ELISA, IF, IHC, WB |
|---|---|
| Dilution Range | Western Blot: 1/500 - 1/2000. Immunohistochemistry: 1/100 - 1/300. ELISA: 1/10000. Not yet tested in other applications. |
| Reactivity | Human, Mouse, Rat |
Key Properties
−| Clonality | Polyclonal |
|---|---|
| Isotype | IgG |
| Immunogen | The antiserum was produced against synthesized peptide derived from human SHP-1 around the phosphorylation site of Tyr536. AA range:502-551 |
| Molecular Weight | 67 |
| Purification | The antibody was affinity-purified from rabbit antiserum by affinity-chromatography using epitope-specific immunogen. |
| Conjugation | Unconjugated |
Storage & Handling
−| Storage | Maintain refrigerated at 2-8°C for up to 2 weeks. For long term storage store at -20°C in small aliquots to prevent freeze-thaw cycles. |
|---|---|
| Buffer/Preservatives | PBS with 0.02% sodium azide and 50% glycerol pH 7.4. |
| Concentration | 1 mg/ml |
| Expiration Date | 12 months from date of receipt. |
| Disclaimer | For research use only |
Alternative Names
−Similar Products
−phospho-PTPN6 (Tyr536) Rabbit pAb, Pacific Blue conjugated [orb2871780]
FC, IF
Canine, Equine
Human
Rabbit
Polyclonal
Pacific Blue
100 μlphospho-PTPN6 (Tyr536) Rabbit pAb, BF700 conjugated [orb2871781]
FC, IF
Canine, Equine
Human
Rabbit
Polyclonal
BF700
100 μlphospho-PTPN6 (Tyr536) Rabbit pAb, IRDye 800CW conjugated [orb2871782]
WB
Canine, Equine
Human
Rabbit
Polyclonal
IRDye800
100 μl

Quality Guarantee
Explore bioreagents carefree to elevate your research. All our products are rigorously tested for performance. If a product does not perform as described on its datasheet, our scientific support team will provide expert troubleshooting, a prompt replacement, or a refund. For full details, please see our Terms & Conditions and Buying Guide. Contact us at support@biorbyt.com.

Western Blot analysis of RAW264.7 + EGF cells using Phospho-SH-PTP1 (Y536) Polyclonal Antibody.

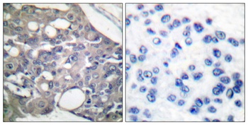
Immunohistochemical analysis of paraffin-embedded Human breast cancer. Antibody was diluted at 1:100 (4°C overnight). High-pressure and temperature Tris-EDTA, pH8.0 was used for antigen retrieval. Negetive contrl (right) obtaned from antibody was pre-absorbed by immunogen peptide.

Immunohistochemistry analysis of paraffin-embedded human breast carcinoma, using SHP-1 (Phospho-Tyr536) Antibody. The picture on the right is blocked with the phospho peptide.

Western blot analysis of lysates from RAW264.7 cells treated with EGF 200ng/ml 5', using SHP-1 (Phospho-Tyr536) Antibody. The lane on the right is blocked with the phospho peptide.
Quick Database Links
UniProt Details
−Documents Download
Request a Document
Protocol Information
SH-PTP1 (phospho Tyr536) rabbit pAb Antibody (orb769807)
Participating in our Biorbyt product reviews program enables you to support fellow scientists by sharing your firsthand experience with our products.
Login to Submit a Review