You have no items in your shopping cart.
SLC16A11 Antibody (N-term)
Description
Research Area
Images & Validation
−| Tested Applications | FC, IHC-P, WB |
|---|---|
| Dilution Range | FC - 1:25, IHC-P - 1:100-500, WB - 1:500 |
| Reactivity | Human, Mouse |
Key Properties
−| Antibody Type | Primary Antibody |
|---|---|
| Host | Rabbit |
| Clonality | Polyclonal |
| Isotype | Rabbit IgG |
| Molecular Weight | 47791 Da |
| Conjugation | Unconjugated |
Storage & Handling
−| Storage | Maintain refrigerated at 2-8°C for up to 2 weeks. For long term storage store at -20°C in small aliquots to prevent freeze-thaw cycles |
|---|---|
| Form/Appearance | Purified polyclonal antibody supplied in PBS with 0.09% (W/V) sodium azide. This antibody is purified through a protein A column, followed by peptide affinity purification. |
| Expiration Date | 12 months from date of receipt. |
| Disclaimer | For research use only |
Alternative Names
−
Quality Guarantee
Explore bioreagents carefree to elevate your research. All our products are rigorously tested for performance. If a product does not perform as described on its datasheet, our scientific support team will provide expert troubleshooting, a prompt replacement, or a refund. For full details, please see our Terms & Conditions and Buying Guide. Contact us at support@biorbyt.com.

Anti-SLC16A11 Antibody (N-term) at 1:1000 dilution + mouse liver lysates.Lysates/proteins at 20 µg per lane. Secondary Goat Anti-Rabbit IgG, (H+L), Peroxidase conjugated at 1/10000 dilution. Predicted band size: 48 kDa. Blocking/Dilution buffer: 5% NFDM/TBST.

Anti-SLC16A11 Antibody (N-term) at 1:2000 dilution + mouse brain lysates.Lysates/proteins at 20 µg per lane. Secondary Goat Anti-Rabbit IgG, (H+L), Peroxidase conjugated at 1/10000 dilution. Predicted band size: 48 kDa. Blocking/Dilution buffer: 5% NFDM/TBST.

Anti-SLC16A11 Antibody (N-term) at 1:500 dilution + A549 whole cell lysates. Lysates/proteins at 20 µg per lane. Secondary Goat Anti-Rabbit IgG, (H+L), Peroxidase conjugated at 1/10000 dilution. Predicted band size: 48 kDa. Blocking/Dilution buffer: 5% NFDM/TBST.

Formalin-fixed and paraffin-embedded H.adrenal tissue tissue reacted with SLC16A11 Antibody (N-term).

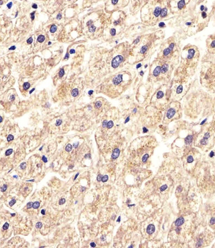
Staining SLC16A11 in Human liver tissue sections by Immunohistochemistry (IHC-P - paraformaldehyde-fixed, paraffin-embedded sections). Tissue was fixed with formaldehyde and blocked with 3% BSA for 0.5 hour at room temperature; antigen retrieval was by heat mediation with a citrate buffer (pH6). Samples were incubated with primary antibody (1/25) for 1 hours at 37°C. A undiluted biotinylated goat polyvalent antibody was used as the secondary Antibody.

SLC16A11 Antibody (N-term) immunohistochemistry analysis in formalin fixed and paraffin embedded human prostate carcinoma followed by peroxidase conjugation of the secondary antibody and DAB staining. This data demonstrates the use of the SLC16A11 Antibody (N-term) for immunohistochemistry. Clinical relevance has not been evaluated.

SLC16A11 Antibody (N-term) western blot analysis in mouse brain, stomach tissue lysates (35 ug/lane). This demonstrates the SLC16A11 antibody detected the SLC16A11 protein (arrow).
Quick Database Links
UniProt Details
−Documents Download
Request a Document
Protocol Information
SLC16A11 Antibody (N-term) (orb1938606)
Participating in our Biorbyt product reviews program enables you to support fellow scientists by sharing your firsthand experience with our products.
Login to Submit a Review