You have no items in your shopping cart.
Smad3 (Phospho-Ser423/Ser425) Rabbit mAb Antibody
Description
Images & Validation
−| Tested Applications | ICC, IHC, WB |
|---|---|
| Reactivity | Human, Mouse, Rat |
Key Properties
−| Antibody Type | Recombinant Antibody |
|---|---|
| Host | Rabbit |
| Clonality | Monoclonal |
| Conjugation | Unconjugated |
Storage & Handling
−| Storage | Maintain refrigerated at 2-8°C for up to 2 weeks. For long term storage store at -20°C in small aliquots to prevent freeze-thaw cycles. |
|---|---|
| Expiration Date | 12 months from date of receipt. |
| Disclaimer | For research use only |

Quality Guarantee
Explore bioreagents carefree to elevate your research. All our products are rigorously tested for performance. If a product does not perform as described on its datasheet, our scientific support team will provide expert troubleshooting, a prompt replacement, or a refund. For full details, please see our Terms & Conditions and Buying Guide. Contact us at support@biorbyt.com.

Immunofluorescent analysis of A549 cells treated with TGF, using Phospho-Smad3 (S423 + S425) Antibody.

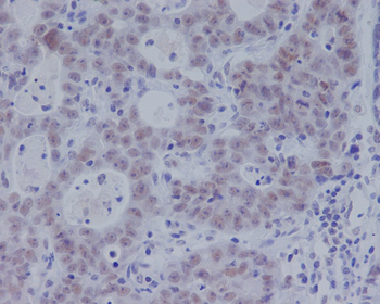
Immunohistochemical analysis of paraffin-embedded human gastric adenocarcinoma, using Phospho-Smad3 (S423 + S425) Antibody.

Western blot analysis of Phospho-Smad3 (S423/S425) expression in A549 cell lysate treated with TGF-?1.
Quick Database Links
UniProt Details
−Documents Download
Request a Document
Protocol Information
Smad3 (Phospho-Ser423/Ser425) Rabbit mAb Antibody (orb1727815)
Participating in our Biorbyt product reviews program enables you to support fellow scientists by sharing your firsthand experience with our products.
Login to Submit a Review