You have no items in your shopping cart.
SMC1 (Phospho-Ser957) Antibody
Description
Research Area
Images & Validation
−| Tested Applications | IHC, WB |
|---|---|
| Dilution Range | WB: 1:500-1:3000, IHC-P: 1:50-1:100, ELISA: 1:10000 |
| Reactivity | Human, Mouse |
Key Properties
−| Host | Rabbit |
|---|---|
| Clonality | Polyclonal |
| Immunogen | Internal |
| Conjugation | Unconjugated |
Storage & Handling
−| Storage | Maintain refrigerated at 2-8°C for up to 2 weeks. For long term storage store at -20°C in small aliquots to prevent freeze-thaw cycles. |
|---|---|
| Concentration | 1mg/ml |
| Expiration Date | 12 months from date of receipt. |
| Disclaimer | For research use only |
Alternative Names
−Similar Products
−SMC1 (Phospho-Ser957) Rabbit mAb Antibody [orb1727763]
ICC, IHC, WB
Human
Rabbit
Monoclonal
Unconjugated
100 μl, 50 μlPhospho-SMC1 (Ser957) Rabbit Polyclonal Antibody [orb6988]
ELISA, IF, IHC-Fr, IHC-P
Mouse, Sheep
Human
Rabbit
Polyclonal
Unconjugated
100 μl, 50 μl, 200 μlPhospho-SMC1 (Ser957) Rabbit Polyclonal Antibody (PE) [orb505663]
IF
Mouse, Sheep
Human
Rabbit
Polyclonal
PE
100 μlPhospho-SMC1 (Ser957) Rabbit Polyclonal Antibody (Biotin) [orb502181]
ELISA, IF, IHC-Fr, IHC-P
Mouse, Sheep
Human
Rabbit
Polyclonal
Biotin
100 μl

Quality Guarantee
Explore bioreagents carefree to elevate your research. All our products are rigorously tested for performance. If a product does not perform as described on its datasheet, our scientific support team will provide expert troubleshooting, a prompt replacement, or a refund. For full details, please see our Terms & Conditions and Buying Guide. Contact us at support@biorbyt.com.

Western blot analysis of HUVEC cells using SMC1 (Phospho-Ser957) antibody.

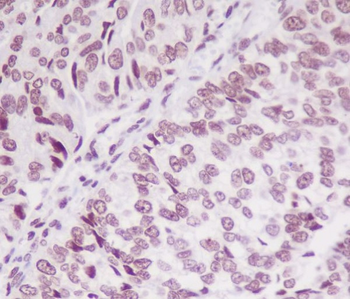
Immunohistochemistry analysis of human lung carcinoma tissue using SMC1 (Phospho-Ser957) antibody.
Quick Database Links
UniProt Details
−Documents Download
Request a Document
Protocol Information
SMC1 (Phospho-Ser957) Antibody (orb223100)
Participating in our Biorbyt product reviews program enables you to support fellow scientists by sharing your firsthand experience with our products.
Login to Submit a Review




