You have no items in your shopping cart.
SOCS3 Antibody
Description
Research Area
Images & Validation
−| Tested Applications | IF, IHC, WB |
|---|---|
| Reactivity | Human, Mouse, Rat |
| Application Notes |
Key Properties
−| Antibody Type | Primary Antibody |
|---|---|
| Host | Rabbit |
| Clonality | Polyclonal |
| Isotype | IgG |
| Immunogen | A synthetic peptide corresponding to a sequence within amino acids 100 to the C-terminus of human SOCS3 (NP_003946.3). |
| Target | SOCS3 |
| Molecular Weight | Observed: 30kDa |
| Purification | Affinity purification |
| Conjugation | Unconjugated |
Storage & Handling
−| Storage | Maintain refrigerated at 2-8°C for up to 2 weeks. For long term storage store at -20°C in small aliquots to prevent freeze-thaw cycles. |
|---|---|
| Form/Appearance | Liquid |
| Buffer/Preservatives | PBS with 0.02% sodium azide, 50% glycerol, pH 7.3. |
| Concentration | batch dependent |
| Expiration Date | 12 months from date of receipt. |
| Disclaimer | For research use only |
Alternative Names
−Similar Products
−SOCS3 Rabbit Polyclonal Antibody [orb11393]
FC, WB
Bovine, Canine, Equine, Porcine, Rabbit, Sheep
Human, Mouse, Rat
Rabbit
Polyclonal
Unconjugated
50 μl, 100 μl, 200 μlSOCS3 Rabbit Polyclonal Antibody (PE) [orb491176]
FC, IF
Bovine, Canine, Equine, Gallus, Mouse, Porcine
Human, Rat
Rabbit
Polyclonal
PE
100 μlHuman Suppressors of Cytokine Signaling 3 (SOCS3) ELISA Kit [orb776008]
Human
15.63-1000 pg/mL
5.9 pg/mL
96 T, 48 TMouse Suppressors of Cytokine Signaling 3 (SOCS3) ELISA Kit [orb778129]
Mouse
0.16-10 ng/mL
0.058 ng/mL
48 T, 96 TCattle Suppressors of Cytokine Signaling 3 (SOCS3) ELISA Kit [orb1146886]
Bovine
0.16-10 ng/mL
0.059 ng/mL
96 T, 48 T

Quality Guarantee
Explore bioreagents carefree to elevate your research. All our products are rigorously tested for performance. If a product does not perform as described on its datasheet, our scientific support team will provide expert troubleshooting, a prompt replacement, or a refund. For full details, please see our Terms & Conditions and Buying Guide. Contact us at support@biorbyt.com.

Western blot analysis of extracts of mouse spleen, using SOCS3 antibody at 1:3000 dilution.

Immunohistochemistry of paraffin-embedded rat heart using SOCS3 antibody at dilution of 1:100 (40x lens).

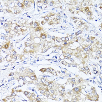
Immunohistochemistry of paraffin-embedded human liver cancer using SOCS3 antibody at dilution of 1:100 (40x lens).

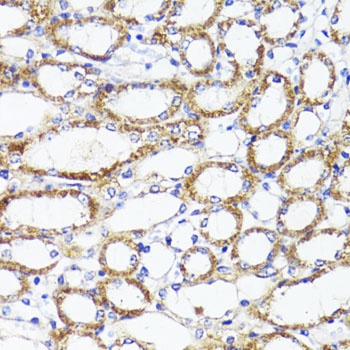
Immunohistochemistry of paraffin-embedded mouse kidney using SOCS3 antibody at dilution of 1:100 (40x lens).
Quick Database Links
UniProt Details
−Documents Download
Request a Document
Protocol Information
SOCS3 Antibody (orb1261794)
Participating in our Biorbyt product reviews program enables you to support fellow scientists by sharing your firsthand experience with our products.
Login to Submit a Review









