You have no items in your shopping cart.
SOD1 Antibody
Description
Images & Validation
−| Tested Applications | ELISA, IF, IHC, IP, WB |
|---|---|
| Dilution range | WB: 1:500-1:5000; IP: 1:500-1:5000; IHC: 1:100-1:400; IF: 1:10-1:100 |
| Reactivity | Human, Mouse, Rat |
Key Properties
−| Antibody Type | Primary Antibody |
|---|---|
| Host | Rabbit |
| Clonality | Polyclonal |
| Isotype | IgG |
| Immunogen | superoxide dismutase 1, soluble |
| Target | SOD1 |
| Purity | ≥95% as determined by SDS-PAGE |
| Purification | Immunogen affinity purified |
| Conjugation | Unconjugated |
Storage & Handling
−| Storage | Maintain refrigerated at 2-8°C for up to 2 weeks. For long term storage store at -20°C in small aliquots to prevent freeze-thaw cycles. |
|---|---|
| Form/Appearance | liquid |
| Disclaimer | For research use only |
Alternative Names
−Similar Products
−Superoxide Dismutase 1/SOD1 Antibody [orb251585]
FC, IHC, WB
Human, Mouse, Rat
Rabbit
Polyclonal
Unconjugated
100 μgSOD1 Rabbit Polyclonal Antibody [orb186008]
FC, IF, IHC-Fr, IHC-P, WB
Bovine, Equine, Porcine
Human, Mouse, Rat
Rabbit
Polyclonal
Unconjugated
50 μl, 100 μl, 200 μlSOD1 Rabbit Polyclonal Antibody [orb11394]
FC, ICC, IF, IHC-Fr, IHC-P, WB
Bovine, Equine, Porcine, Rat
Human, Mouse
Rabbit
Polyclonal
Unconjugated
100 μl, 50 μl, 200 μlSOD1 Recombinant Rabbit Monoclonal Antibody [orb1816706]
IF, IHC-Fr, IHC-P, WB
Mouse, Rat
Human, Mouse, Rat
Rabbit
Recombinant
Unconjugated
25 μl, 100 μl, 50 μlSOD1 Antibody [orb1410189]
FC, IF, IHC
Human
Mouse
Monoclonal
Unconjugated
20 μg, 100 μg, 100 μg (without BSA and Azide)

Quality Guarantee
Explore bioreagents carefree to elevate your research. All our products are rigorously tested for performance. If a product does not perform as described on its datasheet, our scientific support team will provide expert troubleshooting, a prompt replacement, or a refund. For full details, please see our Terms & Conditions and Buying Guide. Contact us at support@biorbyt.com.

HEK-293 cells were subjected to SDS PAGE followed by western blot with orb631399 (SOD1 antibody) at dilution of 1:1500.

IP Result of anti-SOD1 (IP: orb631399, 3 ug; Detection: orb631399 1:1500) with HEK-293 cells lysate 1000 ug.

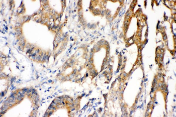
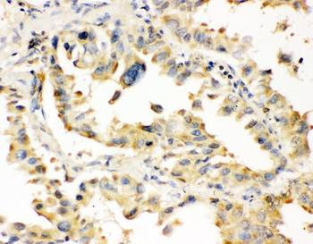
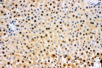
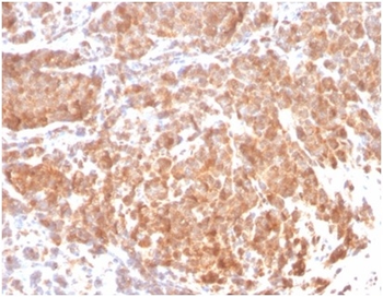
Immunohistochemistry of paraffin-embedded human liver cancer tissue slide using orb631399 (SOD1 Antibody) at dilution of 1:200 heat mediated antigen retrieved with Tris-EDTA buffer (pH9).
Quick Database Links
UniProt Details
−Documents Download
Request a Document
Protocol Information
SOD1 Antibody (orb631399)
Participating in our Biorbyt product reviews program enables you to support fellow scientists by sharing your firsthand experience with our products.
Login to Submit a Review





























