You have no items in your shopping cart.
SSX4 Rabbit Polyclonal Antibody
Description
Research Area
Images & Validation
−| Tested Applications | IHC, WB |
|---|---|
| Reactivity | Human |
| Predicted Reactivity | Human |
Key Properties
−| Host | Rabbit |
|---|---|
| Clonality | Polyclonal |
| Immunogen | The immunogen is a synthetic peptide directed towards the middle region of human SSX4 |
| Target | SSX4 |
| Protein Sequence | Synthetic peptide located within the following region: FPKIMPKKPAEEENGLKEVPEASGPQNDGKQLCPPGNPSTLEKINKTSGP |
| Molecular Weight | 22kDa |
| Purification | Affinity Purified |
| Conjugation | Unconjugated |
Storage & Handling
−| Storage | Maintain refrigerated at 2-8°C for up to 2 weeks. For long term storage store at -20°C in small aliquots to prevent freeze-thaw cycles. |
|---|---|
| Buffer/Preservatives | Liquid. Purified antibody supplied in 1x PBS buffer with 0.09% (w/v) sodium azide and 2% sucrose. |
| Concentration | 0.5 mg/ml |
| Expiration Date | 12 months from date of receipt. |
| Disclaimer | For research use only |
Alternative Names
−Similar Products
−SSX4 Rabbit Polyclonal Antibody [orb631532]
ELISA, IHC, WB
Human
Rabbit
Polyclonal
Unconjugated
50 μg, 100 μgSSX-pan Rabbit Polyclonal Antibody [orb214614]
IHC, WB
Human
Rabbit
Polyclonal
Unconjugated
100 μl, 200 μl, 30 μl, 50 μl

Quality Guarantee
Explore bioreagents carefree to elevate your research. All our products are rigorously tested for performance. If a product does not perform as described on its datasheet, our scientific support team will provide expert troubleshooting, a prompt replacement, or a refund. For full details, please see our Terms & Conditions and Buying Guide. Contact us at support@biorbyt.com.

Sample Type: 721_B, Antibody dilution: 1.0 ug/ml. SSX4 is strongly supported by BioGPS gene expression data to be expressed in Human 721_B cells.

Sample Type: Hela, Antibody dilution: 1.0 ug/ml.

Sample Type: HepG2, Antibody dilution: 1.0 ug/ml.

Sample Type: Jurkat, Antibody dilution: 1.0 ug/ml.

Sample Type: MCF7, Antibody dilution: 1.0 ug/ml.

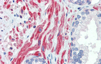
Immunohistochemistry with Human Prostate lysate tissue at an antibody concentration of 5.0 ug/ml using anti-SSX4 antibody (orb575622).

WB Suggested Anti-SSX4 Antibody Titration: 0.2-1 ug/ml, ELISA Titer: 1:312500, Positive Control: HepG2 cell lysate.
Documents Download
Request a Document
Protocol Information
SSX4 Rabbit Polyclonal Antibody (orb575622)
Participating in our Biorbyt product reviews program enables you to support fellow scientists by sharing your firsthand experience with our products.
Login to Submit a Review






