You have no items in your shopping cart.
STAT3 phospho Y705 Antibody
Description
Images & Validation
−| Tested Applications | ELISA, IHC, WB |
|---|---|
| Dilution Range | ELISA: 1:10,000 - 1:30,000, WB: 1 µg/mL |
| Reactivity | Human |
| Application Notes |
Key Properties
−| Antibody Type | Primary Antibody |
|---|---|
| Host | Rabbit |
| Clonality | Polyclonal |
| Isotype | IgG |
| Immunogen | This affinity purified Stat3 antibody was prepared by repeated immunizations with a phosphorylated synthetic peptide corresponding to the region of amino acids surrounding tyrosine 705 of human Stat3. |
| Purity | Anti-STAT3 antibody is an affinity-purified antibody and is directed against the phosphorylated form of human STAT3 protein at the Y705. Anti-Stat3 antibody was affinity purified from monospecific antiserum by immunoaffinity purification. Antiserum was first purified against the phosphorylated form of the immunizing peptide. The resultant affinity purified antibody was then cross adsorbed against the non-phosphorylated form of the immunizing peptide. Anti-Stat3 antibody is specific for the phosphorylated form of the protein. Reactivity with non-phosphorylated Stat3 protein is minimal by ELISA and western blot. A BLAST analysis was used to suggest cross reactivity with Stat3 antibodies from human, mouse, rat, and pig based on 100%sequence homology with the immunogen. Reactivity against homologues from other sources is not known. |
| Conjugation | Unconjugated |
Storage & Handling
−| Storage | Store vial at-20° C prior to opening. Aliquot contents and freeze at -20° C or below for extended storage. Avoid cycles of freezing and thawing. Centrifuge product if not completely clear after standing at room temperature. This product is stable for several weeks at 4° C as an undiluted liquid. Dilute only prior to immediate use. |
|---|---|
| Form/Appearance | Liquid (sterile filtered) |
| Buffer/Preservatives | Preservative: 0.01% (w/v) Sodium Azide. Stabilizer: None; Buffer: 0.02 M Potassium Phosphate, 0.15 M Sodium Chloride, pH 7.2 |
| Concentration | 1.0 mg/mL |
| Expiration Date | 12 months from date of receipt. |
| Dry Ice Shipping | Please note: This product requires shipment on dry ice. A dry ice surcharge will apply. |
| Disclaimer | For research use only |
Alternative Names
−Similar Products
−Phospho-STAT3 (Tyr705) Rabbit Polyclonal Antibody [orb106147]
WB
Bovine, Canine, Guinea pig, Porcine, Rabbit, Sheep
Mouse, Rat
Rabbit
Polyclonal
Unconjugated
50 μl, 100 μl, 200 μlPhospho-STAT3 (Tyr705) Rabbit Polyclonal Antibody [orb608174]
IF, IHC-Fr, IHC-P
Bovine, Canine, Gallus, Guinea pig, Porcine, Rabbit, Rat, Sheep
Human, Mouse, Rat
Rabbit
Polyclonal
Unconjugated
50 μl, 100 μl, 200 μlPhospho-STAT3 (Tyr705) Mouse Monoclonal Antibody [orb506112]
IF, IHC-Fr, IHC-P
Bovine, Canine, Gallus, Guinea pig, Mouse, Porcine, Rabbit, Rat, Sheep
Human, Rat
Mouse
Monoclonal
Unconjugated
200 μl, 50 μl, 100 μl, 200 μgPhospho-STAT3/STAT3 Rabbit Monoclonal Antibody [orb548556]
ICC, IF, IHC, IP, WB
Human, Mouse, Rat
Rabbit
Monoclonal
Unconjugated
100 μlSTAT3 (Phospho-Y705) Rabbit Polyclonal Antibody [orb224010]
IHC, IP, WB
Bovine, Canine, Human, Mouse, Porcine, Rabbit, Rat, Sheep
Rabbit
Polyclonal
Unconjugated
30 μl, 100 μl, 200 μl, 50 μl

Quality Guarantee
Explore bioreagents carefree to elevate your research. All our products are rigorously tested for performance. If a product does not perform as described on its datasheet, our scientific support team will provide expert troubleshooting, a prompt replacement, or a refund. For full details, please see our Terms & Conditions and Buying Guide. Contact us at support@biorbyt.com.

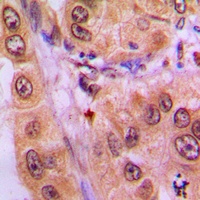
Immunohistochemistry of Rabbit anti STAT3 pY705 Antibody. Tissue: Human Colon at 40X in colon tissue at pH9. Fixation: formalin fixed paraffin embedded. Antigen retrieval: not required. Primary antibody: STAT3 pY705 antibody at 10 µg/ml for 1 h at RT. Secondary antibody: Peroxidase rabbit secondary antibody at 1:10000 for 45 min at RT. Localization: STAT3 phospho Y705 is nuclear and cytoplasmic. Staining: STAT3 (pTyr705) as precipitated red signal with hematoxylin purple nuclear counterstain.

Western Blot of Rabbit anti-Stat3 pY705 antibody. Lane 1: Jurkat lysate. Lane 2: Jurkat lysate IFN-α treatment. Load: 35 µg per lane. Primary antibody: STAT3 pY705 antibody at 1:1000 for overnight at 4°C. Secondary antibody: IRDye800™ rabbit secondary antibody at 1:10000 for 45 min at RT. Block: 5% BLOTTO (p/n orb348624) overnight at 4°C. Predicted/Observed size: 88 kDa, ~90kDa for STAT3py705. Other band(s): STAT 3 pY705 splice variants and isoforms.
Quick Database Links
UniProt Details
−NCBI Reference Sequences
−| Protein | NP_644805.1 |
|---|
Documents Download
Request a Document
Protocol Information
STAT3 phospho Y705 Antibody (orb345698)
Participating in our Biorbyt product reviews program enables you to support fellow scientists by sharing your firsthand experience with our products.
Login to Submit a Review






















