You have no items in your shopping cart.
Stat5a Antibody
Description
Images & Validation
−| Tested Applications | ELISA, IF, IHC, Multiplex Assay, WB |
|---|---|
| Dilution Range | ELISA: 1:20,000, IHC: 20-40 µg/ml, IF: 1:50-1:1000, WB: 1:500 - 1:2,000 |
| Reactivity | Human, Mouse |
| Application Notes |
Key Properties
−| Antibody Type | Primary Antibody |
|---|---|
| Host | Mouse |
| Clonality | Monoclonal |
| Isotype | IgG1 |
| Clone No. | 5F6.F1 |
| Immunogen | Anti-STAT5 phospho Y694 monoclonal antibody was produced by repeated immunizations with a synthetic peptide corresponding to residues surrounding Y694 of mouse STAT5a protein. |
| Target | Stat5a |
| Purity | Phospho STAT5 pY694 was purified from concentrated tissue culture supernate by Protein A chromatography. This antibody is specific for mouse Stat5a protein phosphorylated at Y694. A BLAST analysis was used to suggest cross-reactivity with Stat5a from human, mouse and rat based on 100% homology with the immunizing sequence. Cross-reactivity with Stat5a from other sources has not been determined. |
| Conjugation | Unconjugated |
Storage & Handling
−| Storage | Store STAT5 phospho Y694 Antibody at -20° C prior to opening. Aliquot contents and freeze at -20° C or below for extended storage. Avoid cycles of freezing and thawing. Centrifuge product if not completely clear after standing at room temperature. Phospho STAT5 antibody is stable for several weeks at 4° C as an undiluted liquid. Dilute only prior to immediate use. |
|---|---|
| Form/Appearance | Liquid (sterile filtered) |
| Buffer/Preservatives | Preservative: 0.01% (w/v) Sodium Azide. Stabilizer: None; Buffer: 0.02 M Potassium Phosphate, 0.15 M Sodium Chloride, pH 7.2 |
| Concentration | 1.0 mg/mL |
| Expiration Date | 12 months from date of receipt. |
| Dry Ice Shipping | Please note: This product requires shipment on dry ice. A dry ice surcharge will apply. |
| Disclaimer | For research use only |
Alternative Names
−Similar Products
−STAT5 Rabbit Polyclonal Antibody [orb11432]
ELISA, FC, ICC, IF, IHC-Fr, IHC-P
Bovine, Canine, Equine, Porcine, Rabbit, Rat
Human, Mouse
Rabbit
Polyclonal
Unconjugated
50 μl, 100 μl, 200 μlSTAT5A Antibody [orb1535039]
FC, IF, IHC, IHC-P, WB
Canine, Human, Monkey, Rat
Mouse
Monoclonal
Unconjugated
50 μlMouse Signal Transducer and Activator of Transcription 5A (STAT5A) ELISA Kit [orb1146913]
Mouse
0.32-20 ng/mL
0.121 ng/mL
48 T, 96 THuman Signal Transducer and Activator of Transcription 5A (STAT5A) ELISA Kit [orb779004]
Human
0.32-20 ng/mL
0.116 ng/mL
96 T, 48 T

Quality Guarantee
Explore bioreagents carefree to elevate your research. All our products are rigorously tested for performance. If a product does not perform as described on its datasheet, our scientific support team will provide expert troubleshooting, a prompt replacement, or a refund. For full details, please see our Terms & Conditions and Buying Guide. Contact us at support@biorbyt.com.

Immunofluorescent STED Microscopy of Anti-Stat5 pY694 (MOUSE) Monoclonal Antibody in 3T3 cells. Anti-Stat5 pY694 at 1:500 detecting Stat5 in 3T3 cells. Staining: Stat5 pY694 protein [Red]. Tubulin [Green].

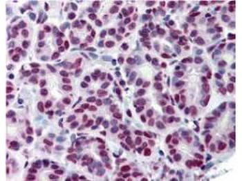
Immunohistochemistry of Monoclonal Anti-Stat5 pY694 Antibody. Tissue: human breast tissue (40X). Fixation: formalin fixed paraffin embedded (FFPE). Antigen retrieval: steam sections in 0.1 M sodium citrate buffer, pH6, for 20 min. Rinse with 1XTBST. Primary antibody: Anti-Stat5pY694 at 20 µg/ml. Localization: breast epithelium with moderate nuclear staining. Staining: Stat5 pY694 as precipitated red signal, with a hematoxylin purple nuclear counterstain.

Western blot using Biorbyt's Protein A purified Mouse Monoclonal anti-Stat5 pY694 antibody shows detection of phosphorylated Stat5 (indicated by arrowhead at ~91 kDa) in NK92 cells after 30 min treatment with 1Ku of IL-2 (lane 2). No reactivity is seen for non-phosphorylated Stat5 in untreated cells (lane 1). The membrane was probed with the primary antibody at a 1:1000 dilution, overnight at 4°C. For detection DyLight™800 conjugated Gt-a-Mouse IgG was used at a 1:20000 dilution for 30 min at room temperature.
Documents Download
Request a Document
Protocol Information
Stat5a Antibody (orb344439)
Participating in our Biorbyt product reviews program enables you to support fellow scientists by sharing your firsthand experience with our products.
Login to Submit a Review














