You have no items in your shopping cart.
Stat5a Antibody
Description
Images & Validation
−| Tested Applications | ELISA, IF, IHC, Multiplex Assay, WB |
|---|---|
| Dilution Range | ELISA: 1:20,000, IHC: 20-40 µg/ml, IF: 1:50 - 1:1,000, WB: 1:500 - 1:2,000 |
| Reactivity | Human, Mouse |
| Application Notes |
Key Properties
−| Antibody Type | Primary Antibody |
|---|---|
| Host | Mouse |
| Clonality | Monoclonal |
| Isotype | IgG1 |
| Clone No. | 5F6.F1 |
| Immunogen | Anti-STAT5 phospho Y694 monoclonal antibody was produced by repeated immunizations with a synthetic peptide corresponding to residues surrounding Y694 of mouse STAT5a protein. |
| Target | Stat5a |
| Purity | Phospho STAT5 pY694 Antibody was purified from concentrated tissue culture supernate by Protein A chromatography. This antibody is specific for mouse Stat5a protein phosphorylated at Y694. A BLAST analysis was used to suggest cross-reactivity with Stat5a from human, mouse and rat based on 100% homology with the immunizing sequence. Cross-reactivity with Stat5a from other sources has not been determined. |
| Conjugation | Unconjugated |
Storage & Handling
−| Storage | Store vial at -20° C or below prior to opening. This vial contains a relatively low volume of reagent (25 µL). To minimize loss of volume dilute 1:10 by adding 225 µL of the buffer stated above directly to the vial. Recap, mix thoroughly and briefly centrifuge to collect the volume at the bottom of the vial. Use this intermediate dilution when calculating final dilutions as recommended below. Store the vial at -20°C or below after dilution. Avoid cycles of freezing and thawing. |
|---|---|
| Form/Appearance | Liquid (sterile filtered) |
| Buffer/Preservatives | Preservative: 0.01% (w/v) Sodium Azide. Stabilizer: None; Buffer: 0.02 M Potassium Phosphate, 0.15 M Sodium Chloride, pH 7.2 |
| Concentration | 1.0 mg/mL |
| Expiration Date | 12 months from date of receipt. |
| Dry Ice Shipping | Please note: This product requires shipment on dry ice. A dry ice surcharge will apply. |
| Disclaimer | For research use only |
Alternative Names
−Similar Products
−STAT5 Rabbit Polyclonal Antibody [orb11432]
ELISA, FC, ICC, IF, IHC-Fr, IHC-P
Bovine, Canine, Equine, Porcine, Rabbit, Rat
Human, Mouse
Rabbit
Polyclonal
Unconjugated
50 μl, 100 μl, 200 μlSTAT5A Antibody [orb1535039]
FC, IF, IHC, IHC-P, WB
Canine, Human, Monkey, Rat
Mouse
Monoclonal
Unconjugated
50 μlMouse Signal Transducer and Activator of Transcription 5A (STAT5A) ELISA Kit [orb1146913]
Mouse
0.32-20 ng/mL
0.121 ng/mL
48 T, 96 THuman Signal Transducer and Activator of Transcription 5A (STAT5A) ELISA Kit [orb779004]
Human
0.32-20 ng/mL
0.116 ng/mL
96 T, 48 T

Quality Guarantee
Explore bioreagents carefree to elevate your research. All our products are rigorously tested for performance. If a product does not perform as described on its datasheet, our scientific support team will provide expert troubleshooting, a prompt replacement, or a refund. For full details, please see our Terms & Conditions and Buying Guide. Contact us at support@biorbyt.com.

Immunofluorescent STED Microscopy of Anti-Stat5 pY694 (MOUSE) Monoclonal Antibody in 3T3 cells. Anti-Stat5 pY694 at 1:500 detecting Stat5 in 3T3 cells. Staining: Stat5 pY694 protein [Red]. Tubulin [Green].

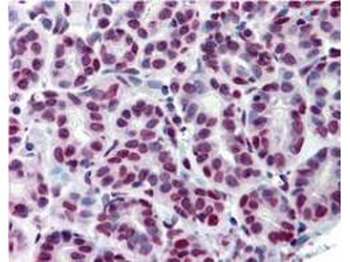
Immunohistochemistry of Monoclonal Anti-Stat5 pY694 Antibody. Tissue: human breast tissue (40X). Fixation: formalin fixed paraffin embedded (FFPE). Antigen retrieval: steam sections in 0.1 M sodium citrate buffer, pH6, for 20 min. Rinse with 1XTBST. Primary antibody: Anti-Stat5pY694 at 20 µg/ml. Localization: breast epithelium with moderate nuclear staining. Staining: Stat5 pY694 as precipitated red signal, with a hematoxylin purple nuclear counterstain.

Western blot using Biorbyt's Protein A purified Mouse Monoclonal anti-Stat5 pY694 antibody shows detection of phosphorylated Stat5 (indicated by arrowhead at ~91 kDa) in NK92 cells after 30 min treatment with 1Ku of IL-2 (lane 2). No reactivity is seen for non-phosphorylated Stat5 in untreated cells (lane 1). The membrane was probed with the primary antibody at a 1:1000 dilution, overnight at 4°C. For detection DyLight™800 conjugated Gt-a-Mouse IgG was used at a 1:20000 dilution for 30 min at room temperature.
Documents Download
Request a Document
Protocol Information
Stat5a Antibody (orb344440)
Participating in our Biorbyt product reviews program enables you to support fellow scientists by sharing your firsthand experience with our products.
Login to Submit a Review














