You have no items in your shopping cart.
STAT5b Rabbit pAb Antibody
Description
Images & Validation
−| Tested Applications | IHC, WB |
|---|---|
| Dilution Range | WB 1:1,000-2,000 IHC 1:200-500 |
| Reactivity | Human, Mouse, Rat |
Key Properties
−| Clonality | Polyclonal |
|---|---|
| Isotype | IgG |
| Immunogen | Recombinant Protein |
| Molecular Weight | 90kDa |
| Conjugation | Unconjugated |
Storage & Handling
−| Storage | Maintain refrigerated at 2-8°C for up to 2 weeks. For long term storage store at -20°C in small aliquots to prevent freeze-thaw cycles. |
|---|---|
| Buffer/Preservatives | PBS with 0.02% sodium azide and 50% glycerol pH 7.4. |
| Concentration | 1mg/mL |
| Expiration Date | 12 months from date of receipt. |
| Disclaimer | For research use only |
Alternative Names
−Similar Products
−Stat5a/b (phospho Ser726/731) rabbit pAb Antibody [orb770176]
ELISA, IF, IHC, WB
Human, Mouse, Rat
Polyclonal
Unconjugated
100 μl, 50 μlStat5 rabbit pAb Antibody [orb766393]
ELISA, IF, IHC, WB
Human, Mouse, Rat
Polyclonal
Unconjugated
100 μl, 50 μlStat5 (phospho Ser726/731) rabbit pAb Antibody [orb764354]
ELISA, IF, IHC, WB
Human, Mouse, Rat
Polyclonal
Unconjugated
100 μl, 50 μlStat5 (phospho Tyr694/699) rabbit pAb Antibody [orb770175]
ELISA, IF, IHC, WB
Human, Mouse, Rat
Polyclonal
Unconjugated
100 μl, 50 μlSTAT5b Rabbit pAb, PE-Cy5 conjugated [orb2844321]
IF
Bovine, Canine, Equine, Mouse, Porcine, Rabbit, Rat, Sheep
Human
Rabbit
Polyclonal
PE/Cy5
100 μl

Quality Guarantee
Explore bioreagents carefree to elevate your research. All our products are rigorously tested for performance. If a product does not perform as described on its datasheet, our scientific support team will provide expert troubleshooting, a prompt replacement, or a refund. For full details, please see our Terms & Conditions and Buying Guide. Contact us at support@biorbyt.com.

Western blot analysis of 1) K562, 2) Hela, 3) 3T3, 4) Mouse Heart Tissue, 5) PC12, 6) Rat Heart Tissue with STAT5b Rabbit pAb orb763764 diluted at 1:2, 000.

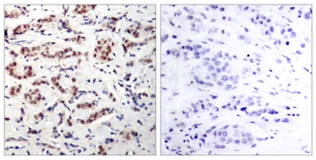
Immunohistochemical analysis of paraffin-embedded Human Spleen Tissue using STAT5b (orb763764) Rabbit pAb diluted at 1:200.
Quick Database Links
UniProt Details
−Documents Download
Request a Document
Protocol Information
STAT5b Rabbit pAb Antibody (orb763764)
Participating in our Biorbyt product reviews program enables you to support fellow scientists by sharing your firsthand experience with our products.
Login to Submit a Review












