You have no items in your shopping cart.
TAF12 Antibody
Description
Research Area
Images & Validation
−| Tested Applications | ELISA, IHC |
|---|---|
| Dilution Range | IHC-P:1:20-1:200 |
| Reactivity | Human |
Key Properties
−| Host | Rabbit |
|---|---|
| Clonality | Polyclonal |
| Isotype | IgG |
| Immunogen | Recombinant Human Transcription initiation factor TFIID subunit 12 protein (1-161AA) |
| Target | TAF12 |
| Purification | >95%, Protein G purified |
| Conjugation | Unconjugated |
Storage & Handling
−| Storage | Maintain refrigerated at 2-8°C for up to 2 weeks. For long term storage store at -20°C in small aliquots to prevent freeze-thaw cycles. |
|---|---|
| Form/Appearance | Liquid |
| Buffer/Preservatives | Preservative: 0.03% Proclin 300. Constituents: 50% Glycerol |
| Expiration Date | 12 months from date of receipt. |
| Disclaimer | For research use only |
Alternative Names
−Similar Products
−Mouse TATA Box Binding Protein Associated Factor 12 (TAF12) ELISA Kit [orb779901]
Mouse
0.16-10 ng/mL
0.057 ng/mL
96 T, 48 TTAF12 Rabbit Polyclonal Antibody [orb546371]
IHC, WB
Human, Mouse, Rat
Rabbit
Polyclonal
Unconjugated
100 μg

Quality Guarantee
Explore bioreagents carefree to elevate your research. All our products are rigorously tested for performance. If a product does not perform as described on its datasheet, our scientific support team will provide expert troubleshooting, a prompt replacement, or a refund. For full details, please see our Terms & Conditions and Buying Guide. Contact us at support@biorbyt.com.

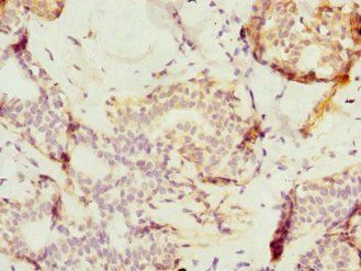
Immunohistochemistry of paraffin-embedded human colon cancer tissue using TAF12 antibody

Immunohistochemistry of paraffin-embedded human adrenal gland tissue using TAF12 antibody
Quick Database Links
UniProt Details
−Documents Download
Request a Document
Protocol Information
TAF12 Antibody (orb351933)
Participating in our Biorbyt product reviews program enables you to support fellow scientists by sharing your firsthand experience with our products.
Login to Submit a Review










