You have no items in your shopping cart.
TEA domain transcription factor 4 Antibody
Description
Images & Validation
−| Tested Applications | ICC, IHC-P, WB |
|---|---|
| Dilution Range | WB: 1:500-1:3000 , IHC-P: 1:100-1:1000 |
| Reactivity | Human |
Key Properties
−| Antibody Type | Primary Antibody |
|---|---|
| Host | Rabbit |
| Clonality | Polyclonal |
| Isotype | IgG |
| Immunogen | Recombinant protein encompassing a sequence within the center region of human TEAD4. The exact sequence is proprietary. |
| Target | TEAD4 |
| Molecular Weight | 48 |
| Purity | Purified by antigen-affinity chromatography. |
| Purification | Purified by antigen-affinity chromatography. |
| Conjugation | Unconjugated |
Storage & Handling
−| Storage | Store as concentrated solution. Centrifuge briefly prior to opening vial. For short-term storage (1-2 weeks), store at 4°C. For long-term storage, aliquot and store at -20°lC or below. Avoid multiple freeze-thaw cycles. |
|---|---|
| Form/Appearance | Liquid: 1XPBS, 20% Glycerol (pH7). 0.025% ProClin 300 was added as a preservative. |
| Buffer/Preservatives | PBS, 20% Glycerol, 0.025% ProClin 300. |
| Concentration | 0.69 mg/ml |
| Expiration Date | 12 months from date of receipt. |
| Disclaimer | For research use only |
Alternative Names
−Similar Products
−TEF4 Rabbit Polyclonal Antibody [orb2209]
IF, IHC-Fr, IHC-P, WB
Bovine, Canine, Equine, Human, Rabbit
Mouse, Rat
Rabbit
Polyclonal
Unconjugated
200 μl, 50 μl, 100 μlTEAD4 Rabbit Polyclonal Antibody [orb412248]
WB
Human, Mouse, Rat
Rabbit
Polyclonal
Unconjugated
50 μl, 100 μl, 200 μl, 30 μlTEAD4 Rabbit Polyclonal Antibody [orb2953306]
ELISA, IHC, WB
Human
Rabbit
Polyclonal
Unconjugated
50 μg, 100 μg

Quality Guarantee
Explore bioreagents carefree to elevate your research. All our products are rigorously tested for performance. If a product does not perform as described on its datasheet, our scientific support team will provide expert troubleshooting, a prompt replacement, or a refund. For full details, please see our Terms & Conditions and Buying Guide. Contact us at support@biorbyt.com.

Immunofluorescence analysis of HeLa cells using TEAD4 antibody

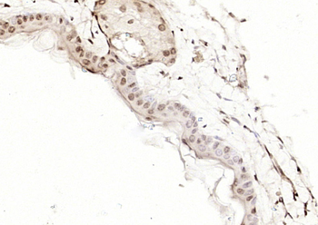
Immunohistochemical staining of SW480 Xenograft using TEAD4 antibody

Western blot analysis of HepG2 cells using TEAD4 antibody
Quick Database Links
UniProt Details
−Documents Download
Request a Document
Protocol Information
TEA domain transcription factor 4 Antibody (orb556564)
Participating in our Biorbyt product reviews program enables you to support fellow scientists by sharing your firsthand experience with our products.
Login to Submit a Review





