You have no items in your shopping cart.
TGFB3 Antibody
Description
Research Area
Images & Validation
−| Tested Applications | ELISA, IHC |
|---|---|
| Dilution Range | IHC-P:1:20-200 |
| Reactivity | Human |
Key Properties
−| Host | Rabbit |
|---|---|
| Clonality | Polyclonal |
| Isotype | IgG |
| Immunogen | Recombinant Human Transforming growth factor beta-3 proprotein protein (24-300AA) |
| Target | TGFB3 |
| Purification | >95%, Protein G purified |
| Conjugation | Unconjugated |
Storage & Handling
−| Storage | Maintain refrigerated at 2-8°C for up to 2 weeks. For long term storage store at -20°C in small aliquots to prevent freeze-thaw cycles. |
|---|---|
| Form/Appearance | Liquid |
| Buffer/Preservatives | Preservative: 0.03% Proclin 300. Constituents: 50% Glycerol |
| Expiration Date | 12 months from date of receipt. |
| Disclaimer | For research use only |
Alternative Names
−Similar Products
−TGF Beta 1+2+3 Rabbit Polyclonal Antibody [orb7086]
FC, IF, IHC-Fr, IHC-P, WB
Bovine, Canine, Guinea pig, Porcine, Sheep
Human, Mouse, Rabbit, Rat
Rabbit
Polyclonal
Unconjugated
50 μl, 100 μl, 200 μlTGF beta 3 propeptide Rabbit Polyclonal Antibody [orb11470]
FC, IF, IHC-Fr, IHC-P, WB
Canine, Rabbit
Human, Mouse, Porcine, Rat
Rabbit
Polyclonal
Unconjugated
100 μl, 50 μl, 200 μlHuman Transforming Growth Factor Beta 3 (TGFb3) ELISA Kit [orb777585]
Human
15.63-1000 pg/mL
5.6 pg/mL
48 T, 96 TPig Transforming Growth Factor Beta 3 (TGFb3) ELISA Kit [orb781700]
Porcine
15.63-1000 pg/mL
6 pg/mL
48 T, 96 THorse Transforming Growth Factor Beta 3 (TGFb3) ELISA Kit [orb781995]
Equine
15.63-1000 pg/mL
6.5 pg/mL
96 T, 48 T

Quality Guarantee
Explore bioreagents carefree to elevate your research. All our products are rigorously tested for performance. If a product does not perform as described on its datasheet, our scientific support team will provide expert troubleshooting, a prompt replacement, or a refund. For full details, please see our Terms & Conditions and Buying Guide. Contact us at support@biorbyt.com.

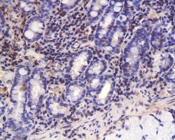
Immunohistochemistry of paraffin-embedded human colon cancer tissue using TGFB3 antibody

Immunohistochemistry of paraffin-embedded human kidney tissue using TGFB3 antibody
Quick Database Links
UniProt Details
−Documents Download
Request a Document
Protocol Information
TGFB3 Antibody (orb357099)
Participating in our Biorbyt product reviews program enables you to support fellow scientists by sharing your firsthand experience with our products.
Login to Submit a Review








