You have no items in your shopping cart.
TIM3 Antibody / HAVCR2
Description
Research Area
Images & Validation
−| Tested Applications | IHC-P |
|---|---|
| Dilution Range | Immunohistochemistry (FFPE): 1-2ug/ml for 30 min at RT,Prediluted IHC only format: incubate for 30 min at RT (1) |
| Reactivity | Human |
| Application Notes |
Key Properties
−| Antibody Type | Primary Antibody |
|---|---|
| Host | Mouse |
| Clonality | Monoclonal |
| Isotype | Mouse IgG2a, kappa |
| Clone No. | TMDP3-1 |
| Immunogen | A recombinant fragment of human TIM3 protein within amino acids 22-202 was used as the immunogen for the TIM3 antibody. |
| Purification | Protein G affinity chromatography |
| Conjugation | Unconjugated |
Storage & Handling
−| Storage | Maintain refrigerated at 2-8°C for up to 2 weeks. For long term storage store at -20°C in small aliquots to prevent freeze-thaw cycles. |
|---|---|
| Buffer/Preservatives | 0.2 mg/ml in 1X PBS with 0.1 mg/ml rAlbumin and 0.05% sodium azide |
| Expiration Date | 12 months from date of receipt. |
| Disclaimer | For research use only |
Similar Products
−
Quality Guarantee
Explore bioreagents carefree to elevate your research. All our products are rigorously tested for performance. If a product does not perform as described on its datasheet, our scientific support team will provide expert troubleshooting, a prompt replacement, or a refund. For full details, please see our Terms & Conditions and Buying Guide. Contact us at support@biorbyt.com.

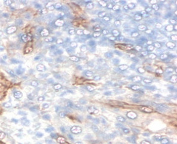
IHC staining of FFPE human adrenal gland with TIM3 antibody (clone TMDP3-1). HIER: boil tissue sections in pH9 10mM Tris with 1mM EDTA for 10-20 min and allow to cool before testing.

IHC staining of FFPE human tonsil with TIM3 antibody (clone TMDP3-1). HIER: boil tissue sections in pH9 10mM Tris with 1mM EDTA for 10-20 min and allow to cool before testing.
Quick Database Links
UniProt Details
−Documents Download
Request a Document
TIM3 Antibody / HAVCR2 (orb607113)
Participating in our Biorbyt product reviews program enables you to support fellow scientists by sharing your firsthand experience with our products.
Login to Submit a Review






















