You have no items in your shopping cart.
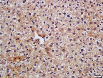
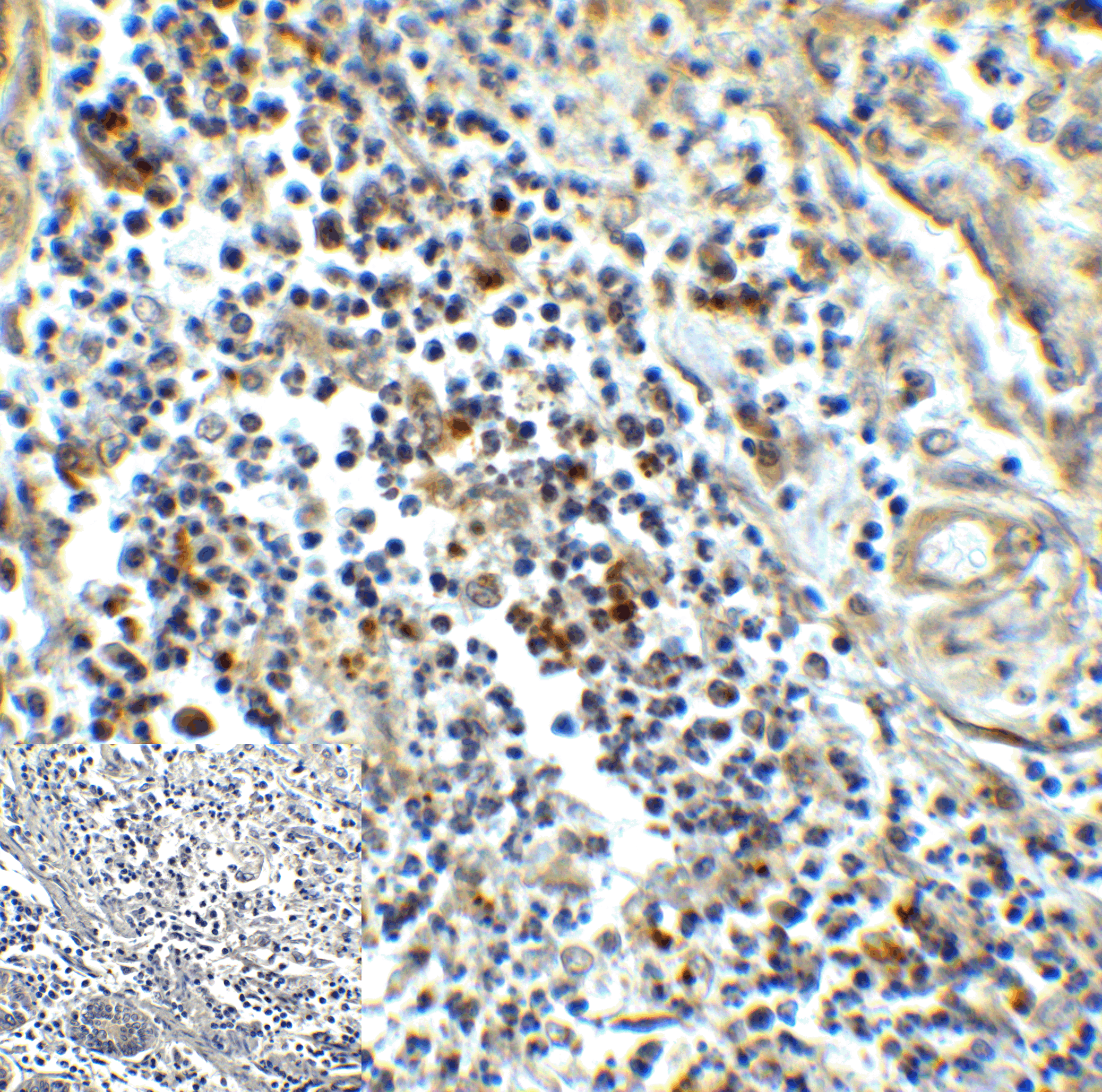
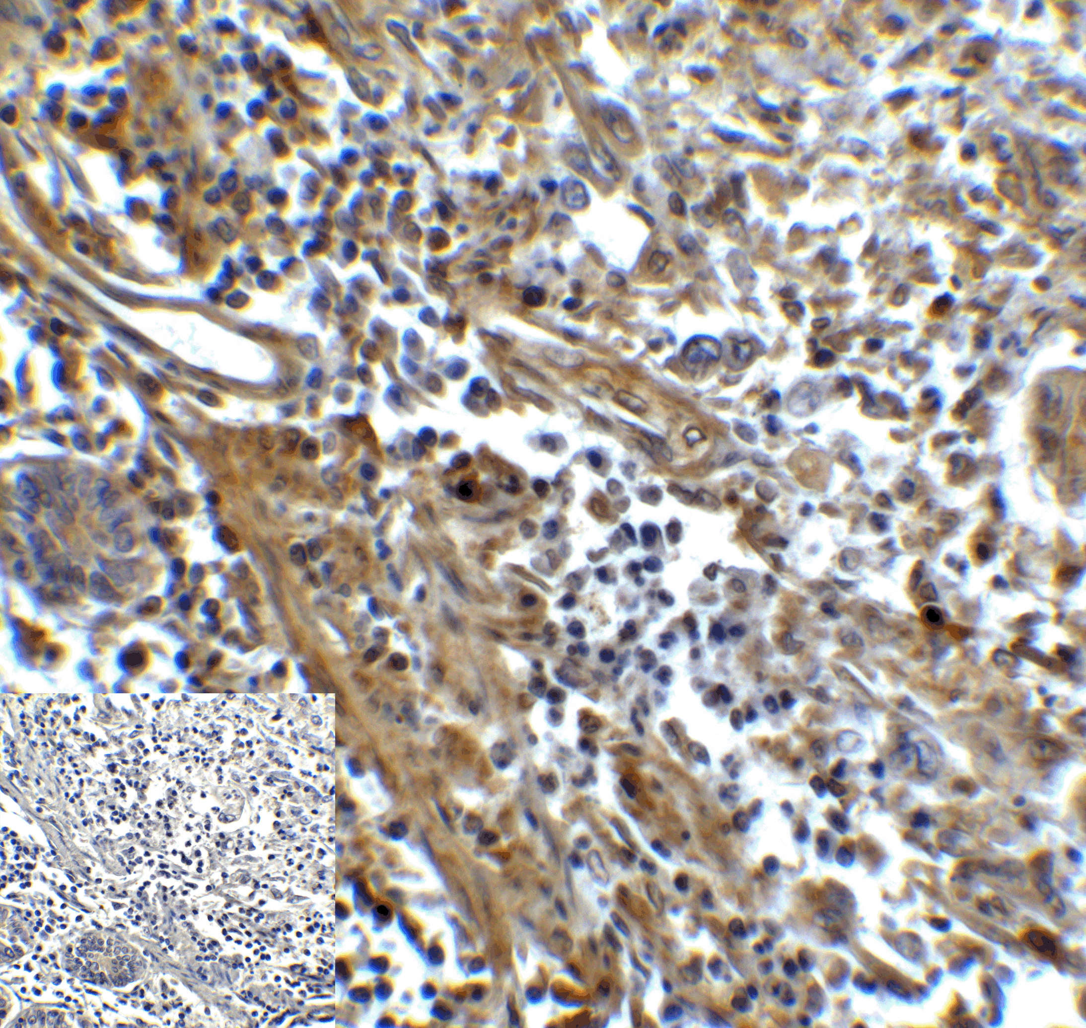
TIM 3 Antibody
Description
Images & Validation
−| Tested Applications | FC, WB |
|---|---|
| Dilution Range | WB 1:500, FLOW 1:100 |
| Reactivity | Human |
| Application Notes |
Key Properties
−| Antibody Type | Primary Antibody |
|---|---|
| Host | Mouse |
| Clonality | Monoclonal |
| Isotype | IgG1 |
| Clone No. | OTI7B10 |
| Immunogen | Full length human recombinant protein of human HAVCR2 (NP_116171) produced in HEK293T cell. |
| Target | TIM 3 |
| Molecular Weight | 33.2 kDa |
| Conjugation | Unconjugated |
Storage & Handling
−| Storage | Maintain refrigerated at 2-8°C for up to 2 weeks. For long term storage store at -20°C in small aliquots to prevent freeze-thaw cycles. |
|---|---|
| Expiration Date | 12 months from date of receipt. |
| Disclaimer | For research use only |
Similar Products
−HAVCR2/TIM-3 Rabbit Polyclonal Antibody [orb186446]
ELISA, WB
Human
Mouse
Rabbit
Polyclonal
Unconjugated
50 μl, 200 μl, 100 μlHAVCR2 Antibody [orb1240153]
ELISA, FC, ICC, IF, IHC-P, WB
Human
Mouse
Monoclonal
Unconjugated
0.1 mg, 0.02 mgHAVCR2 Antibody [orb1240157]
ELISA, FC, ICC, IF, IHC-P, WB
Human
Mouse
Monoclonal
Unconjugated
0.1 mg, 0.02 mgARHGEF5 Rabbit Polyclonal Antibody [orb1972587]
ELISA, FC, WB
Human, Mouse, Rat
Rabbit
Polyclonal
Unconjugated
100 μgHuman Hepatitis A Virus Cellular Receptor 2 (HAVCR2) ELISA Kit [orb778268]
Human
0.16-10 ng/mL
0.061 ng/mL
96 T, 48 T

Quality Guarantee
Explore bioreagents carefree to elevate your research. All our products are rigorously tested for performance. If a product does not perform as described on its datasheet, our scientific support team will provide expert troubleshooting, a prompt replacement, or a refund. For full details, please see our Terms & Conditions and Buying Guide. Contact us at support@biorbyt.com.

Western blot analysis of HEK293T cells were transfected with the pCMV6-ENTRY control (Left lane) or pCMV6-ENTRY HAVCR2 ( Right lane) using TIM 3 (HAVCR2) antibody
Documents Download
Request a Document
Protocol Information
TIM 3 Antibody (orb1326602)
Participating in our Biorbyt product reviews program enables you to support fellow scientists by sharing your firsthand experience with our products.
Login to Submit a Review




















