You have no items in your shopping cart.
TNR Antibody
Description
Images & Validation
−| Tested Applications | ELISA, IHC, WB |
|---|---|
| Dilution Range | WB: 1:500-1:2000; IHC: 1:20-1:200 |
| Reactivity | Human |
Key Properties
−| Antibody Type | Primary Antibody |
|---|---|
| Host | Rabbit |
| Clonality | Polyclonal |
| Isotype | IgG |
| Immunogen | tenascin R(restrictin, janusin) |
| Target | TNR |
| Purity | ≥95% as determined by SDS-PAGE |
| Purification | Immunogen affinity purified |
| Conjugation | Unconjugated |
Storage & Handling
−| Storage | Maintain refrigerated at 2-8°C for up to 2 weeks. For long term storage store at -20°C in small aliquots to prevent freeze-thaw cycles. |
|---|---|
| Form/Appearance | liquid |
| Expiration Date | 12 months from date of receipt. |
| Disclaimer | For research use only |
Similar Products
−CFTR Antibody [orb1410226]
IHC
Human
Rabbit
Monoclonal
Unconjugated
20 μg, 100 μg, 100 μg (without BSA and Azide)CFTR Antibody [orb1410393]
IHC
Human
Rabbit
Monoclonal
Unconjugated
20 μg, 100 μg, 100 μg (without BSA and Azide)Tenascin-R TNR Rabbit Polyclonal Antibody [orb1940036]
FC, IHC, WB
Human, Mouse, Rat
Rabbit
Polyclonal
Unconjugated
100 μgHuman Cystic Fibrosis Transmembrane Conductance Regulator (CFTR) ELISA Kit [orb776837]
Human
0.16-10 ng/mL
0.06 ng/mL
96 T, 48 TCFTR Rabbit Polyclonal Antibody [orb10376]
IF, IHC-Fr, IHC-P
Bovine, Canine, Equine, Gallus, Human, Mouse, Porcine, Rabbit, Sheep
Rat
Rabbit
Polyclonal
Unconjugated
50 μl, 100 μl, 200 μl

Quality Guarantee
Explore bioreagents carefree to elevate your research. All our products are rigorously tested for performance. If a product does not perform as described on its datasheet, our scientific support team will provide expert troubleshooting, a prompt replacement, or a refund. For full details, please see our Terms & Conditions and Buying Guide. Contact us at support@biorbyt.com.

human brain tissue were subjected to SDS PAGE followed by western blot with orb395669 (TNR-Specific antibody) at dilution of 1:300.

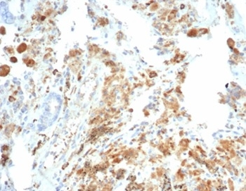
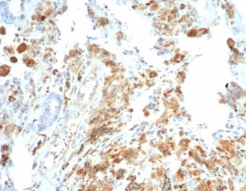
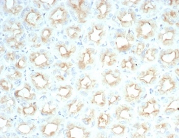
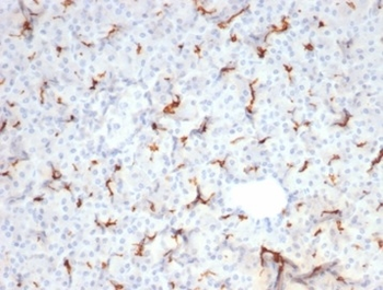
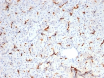
Immunohistochemistry of paraffin-embedded human brain using orb395669 (TNR-Specific antibody) at dilution of 1:100.
Quick Database Links
UniProt Details
−Documents Download
Request a Document
Protocol Information
TNR Antibody (orb395669)
Participating in our Biorbyt product reviews program enables you to support fellow scientists by sharing your firsthand experience with our products.
Login to Submit a Review















