You have no items in your shopping cart.
TUBGCP3 Antibody
Description
Images & Validation
−| Tested Applications | IF, IHC, WB |
|---|---|
| Reactivity | Human, Mouse, Rat |
| Application Notes |
Key Properties
−| Antibody Type | Primary Antibody |
|---|---|
| Host | Rabbit |
| Clonality | Polyclonal |
| Isotype | IgG |
| Immunogen | Recombinant fusion protein containing a sequence corresponding to amino acids 1-250 of human TUBGCP3 (NP_001273207.1). |
| Target | TUBGCP3 |
| Molecular Weight | Observed: 105kDa |
| Purification | Affinity purification |
| Conjugation | Unconjugated |
Storage & Handling
−| Storage | Maintain refrigerated at 2-8°C for up to 2 weeks. For long term storage store at -20°C in small aliquots to prevent freeze-thaw cycles. |
|---|---|
| Buffer/Preservatives | Liquid |
| Concentration | batch dependent |
| Disclaimer | For research use only |
Alternative Names
−Similar Products
−GCP3 Rabbit Polyclonal Antibody [orb157089]
ELISA, ICC, IF, IHC-Fr, IHC-P, WB
Bovine, Gallus, Human, Mouse, Rat, Sheep, Xenopus
Human
Rabbit
Polyclonal
Unconjugated
100 μl, 200 μl, 50 μlTUBGCP3 Antibody [orb632250]
ELISA, IHC, WB
Human, Mouse, Rat
Rabbit
Polyclonal
Unconjugated
50 μg, 100 μgGamma tubulin complex component 3 Antibody [orb1326646]
WB
Human, Mouse
Mouse
Monoclonal
Unconjugated
100 μg

Quality Guarantee
Explore bioreagents carefree to elevate your research. All our products are rigorously tested for performance. If a product does not perform as described on its datasheet, our scientific support team will provide expert troubleshooting, a prompt replacement, or a refund. For full details, please see our Terms & Conditions and Buying Guide. Contact us at support@biorbyt.com.

Western blot analysis of extracts of various cell lines, using TUBGCP3 antibody (orb1257703) at 1:1000 dilution. Secondary antibody: HRP Goat Anti-Rabbit IgG (H+L) at 1:10000 dilution. Lysates/proteins: 25 ug per lane. Blocking buffer: 3% nonfat dry milk in TBST. Detection: ECL Basic Kit. Exposure time: 30s.

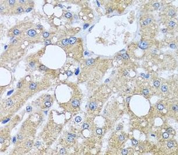
Immunohistochemistry of paraffin-embedded human liver damage using TUBGCP3 antibody (orb1257703) at dilution of 1:100 (40x lens).

Immunofluorescence analysis of U2OS cells using TUBGCP3 antibody (orb1257703) at dilution of 1:100. Blue: DAPI for nuclear staining.
Quick Database Links
UniProt Details
−Documents Download
Request a Document
Protocol Information
TUBGCP3 Antibody (orb1257703)
Participating in our Biorbyt product reviews program enables you to support fellow scientists by sharing your firsthand experience with our products.
Login to Submit a Review







