You have no items in your shopping cart.
TWEAK Antibody
SKU: orb2626170
Description
Images & Validation
−
| Tested Applications | ICC, IHC, WB |
|---|---|
| Dilution Range | WB: 1/500-1/2000; IHC: 1/100-1/300; IF/ICC: 1/200-1/1000; ELISA: 1/20000 |
| Reactivity | Human, Mouse |
Key Properties
−| Antibody Type | Primary Antibody |
|---|---|
| Host | Rabbit |
| Clonality | Polyclonal |
| Isotype | Rabbit IgG |
| Immunogen | Synthesized peptide derived from the Internal region of human TWEAK. |
| Target | TWEAK |
| Molecular Weight | 27kDa |
| Conjugation | Unconjugated |
Storage & Handling
−| Storage | Maintain refrigerated at 2-8°C for up to 2 weeks. For long term storage store at -20°C in small aliquots to prevent freeze-thaw cycles. |
|---|---|
| Buffer/Preservatives | Purified antibody in PBS with 0.05% sodium azide,0.5%rAlbumin and 50% glycerol. |
| Concentration | Approximately 1mg/ml (varies from batch to batch). Please inquire for precise concentration. |
| Expiration Date | 12 months from date of receipt. |
| Disclaimer | For research use only |
Alternative Names
−TNFSF12; APO3L; DR3LG; Tumor necrosis factor ligand superfamily member 12; APO3 ligand; TNF-related weak inducer of apoptosis; TWEAK
Similar Products
−TNFSF12 Antibody [orb1240271]
ELISA, IF, IHC-P, WB
Human, Mouse
Rabbit
Polyclonal
Unconjugated
0.1 mg, 0.02 mgHuman Tumor Necrosis Factor Ligand Superfamily, Member 12 (TNFSF12) ELISA Kit [orb778263]
Human
15.63-1000 pg/mL
6.4 pg/mL
96 T, 48 TRat Tumor Necrosis Factor Ligand Superfamily, Member 12 (TNFSF12) ELISA Kit [orb779872]
Rat
31.25-2000 pg/mL
13.6 pg/mL
48 T, 96 T

Quality Guarantee
Explore bioreagents carefree to elevate your research. All our products are rigorously tested for performance. If a product does not perform as described on its datasheet, our scientific support team will provide expert troubleshooting, a prompt replacement, or a refund. For full details, please see our Terms & Conditions and Buying Guide. Contact us at support@biorbyt.com.
Quick Database Links
UniProt Details
− No UniProt data available
NCBI Gene Details
− No NCBI Gene data available
Documents Download
Datasheet
Product Information
Request a Document
Protocol Information
WB
Western Blot (IB, immunoblot)
IHC
Immunohistochemistry
ICC
Immunocytochemistry
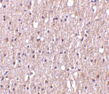
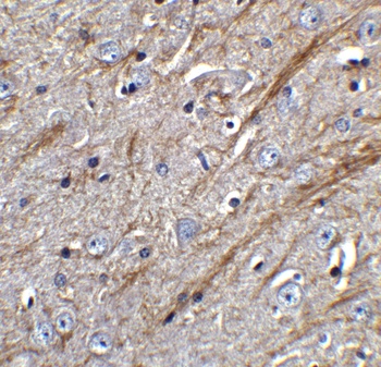
TWEAK Antibody (orb2626170)
Based on 0 reviews
Participating in our Biorbyt product reviews program enables you to support fellow scientists by sharing your firsthand experience with our products.
Login to Submit a Review














