You have no items in your shopping cart.
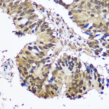
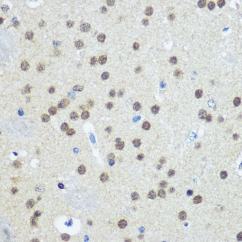
UBA1 Antibody
Description
Research Area
Images & Validation
−| Tested Applications | ELISA, IF, WB |
|---|---|
| Dilution Range | WB:1:500-5000, IF:1:50-200 |
| Reactivity | Human |
Key Properties
−| Host | Rabbit |
|---|---|
| Clonality | Polyclonal |
| Isotype | IgG |
| Immunogen | Recombinant Human Ubiquitin-like modifier-activating enzyme 1 protein (730-881AA) |
| Target | UBA1 |
| Purification | >95%, Protein G purified |
| Conjugation | Unconjugated |
Storage & Handling
−| Storage | Maintain refrigerated at 2-8°C for up to 2 weeks. For long term storage store at -20°C in small aliquots to prevent freeze-thaw cycles. |
|---|---|
| Form/Appearance | Liquid |
| Buffer/Preservatives | Preservative: 0.03% Proclin 300. Constituents: 50% Glycerol |
| Expiration Date | 12 months from date of receipt. |
| Disclaimer | For research use only |
Alternative Names
−Similar Products
−UBA1 Antibody (N-term) [orb1935705]
IHC-P, WB
Bovine, Mouse, Rabbit, Rat
Human
Rabbit
Polyclonal
Unconjugated
100 μl, 50 μlUBA1 Antibody [orb411973]
IF, IHC, WB
Human, Mouse, Rat
Rabbit
Polyclonal
Unconjugated
30 μl, 50 μl, 100 μl, 200 μlRabbit UBE1 Antibody [orb1528976]
IHC, WB
Bovine, Rabbit, Rat
Human, Mouse
Rabbit
Polyclonal
Unconjugated
100 μl, 10 μl

Quality Guarantee
Explore bioreagents carefree to elevate your research. All our products are rigorously tested for performance. If a product does not perform as described on its datasheet, our scientific support team will provide expert troubleshooting, a prompt replacement, or a refund. For full details, please see our Terms & Conditions and Buying Guide. Contact us at support@biorbyt.com.

Immunofluorescence staining of Hela cells using UBA1 antibody

Western blot aanalysis of Hela whole cell lysateusing UBA1 antibody
Quick Database Links
UniProt Details
−Documents Download
Request a Document
Protocol Information
UBA1 Antibody (orb414609)
Participating in our Biorbyt product reviews program enables you to support fellow scientists by sharing your firsthand experience with our products.
Login to Submit a Review














