You have no items in your shopping cart.
UCHL1 Antibody
Description
Research Area
Images & Validation
−| Tested Applications | ELISA, IHC, IP, WB |
|---|---|
| Dilution range | WB: 1:500-1:5000; IHC:1:100-1:500; IP: 1:1000-1:5000 |
| Reactivity | Human, Mouse, Rat |
Key Properties
−| Antibody Type | Primary Antibody |
|---|---|
| Host | Rabbit |
| Clonality | Polyclonal |
| Isotype | IgG |
| Immunogen | ubiquitin carboxyl-terminal esterase L1(ubiquitin thiolesterase) |
| Target | UCHL1 |
| Molecular Weight | 26 kDa |
| Purity | ≥95% as determined by SDS-PAGE |
| Purification | Immunogen affinity purified |
| Conjugation | Unconjugated |
Storage & Handling
−| Storage | Maintain refrigerated at 2-8°C for up to 2 weeks. For long term storage store at -20°C in small aliquots to prevent freeze-thaw cycles. |
|---|---|
| Form/Appearance | liquid |
| Disclaimer | For research use only |
Alternative Names
−Similar Products
−PGP9.5 antibody [orb6713]
ELISA, ICC, IF, IHC-P, WB
Human, Mouse, Rat
Rabbit
Polyclonal
Unconjugated
100 μgPGP9.5 Mouse Monoclonal Antibody [orb2563495]
IF, IHC-Fr, IHC-P, WB
Human, Mouse, Rat
Human, Mouse, Rat
Mouse
Monoclonal
Unconjugated
200 μg, 50 μl, 100 μl, 200 μlPGP9.5 Rabbit Polyclonal Antibody [orb500977]
IF, IHC-Fr, IHC-P
Bovine, Equine, Guinea pig, Porcine
Human, Mouse, Rat
Rabbit
Polyclonal
Unconjugated
50 μl, 100 μl, 200 μlUCHL1 Rabbit Polyclonal Antibody [orb331031]
IHC, WB
Bovine, Canine, Equine, Guinea pig, Rabbit, Zebrafish
Human, Mouse, Rat
Rabbit
Polyclonal
Unconjugated
100 μlUCHL1 Antibody (C-term) [orb1931713]
FC, IF, IHC-P, WB
Bovine, Monkey, Porcine
Human, Mouse, Rat
Rabbit
Polyclonal
Unconjugated
100 μl, 50 μl

Quality Guarantee
Explore bioreagents carefree to elevate your research. All our products are rigorously tested for performance. If a product does not perform as described on its datasheet, our scientific support team will provide expert troubleshooting, a prompt replacement, or a refund. For full details, please see our Terms & Conditions and Buying Guide. Contact us at support@biorbyt.com.

A549 cells were subjected to SDS PAGE followed by western blot with orb632346 (UCHL1 antibody) at dilution of 1:3000.

IP Result of anti-UCHL1/PGP9.5 (IP: orb632346, 4 ug; Detection: orb632346 1:2000) with mouse brain tissue lysate 4000 ug.

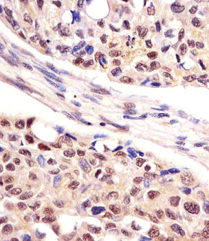
Immunohistochemistry of paraffin-embedded mouse brain tissue slide using orb632346 (UCHL1/PGP9.5) antibody at dilution of 1:200.
Quick Database Links
UniProt Details
−Documents Download
Request a Document
Protocol Information
UCHL1 Antibody (orb632346)
Participating in our Biorbyt product reviews program enables you to support fellow scientists by sharing your firsthand experience with our products.
Login to Submit a Review













































