You have no items in your shopping cart.
VISTA Antibody / GI24
Description
Research Area
Images & Validation
−| Tested Applications | ELISA, IHC-P |
|---|---|
| Dilution Range | ELISA (order BSA/sodium azide-free format for coating),Immunohistochemistry (FFPE): 1-2ug/ml for 30 min at RT |
| Reactivity | Human |
| Application Notes |
Key Properties
−| Antibody Type | Primary Antibody |
|---|---|
| Host | Mouse |
| Clonality | Monoclonal |
| Isotype | Mouse IgG2b, kappa |
| Clone No. | VISTA/3007 |
| Immunogen | A recombinant full-length human VISTA protein was used as the immunogen for the VISTA antibody. |
| Purification | Protein G affinity chromatography |
| Conjugation | Unconjugated |
Storage & Handling
−| Storage | Maintain refrigerated at 2-8°C for up to 2 weeks. For long term storage store at -20°C in small aliquots to prevent freeze-thaw cycles. |
|---|---|
| Buffer/Preservatives | 0.2 mg/ml in 1X PBS with 0.1 mg/ml rAlbumin and 0.05% sodium azide |
| Expiration Date | 12 months from date of receipt. |
| Disclaimer | For research use only |
Similar Products
−
Quality Guarantee
Explore bioreagents carefree to elevate your research. All our products are rigorously tested for performance. If a product does not perform as described on its datasheet, our scientific support team will provide expert troubleshooting, a prompt replacement, or a refund. For full details, please see our Terms & Conditions and Buying Guide. Contact us at support@biorbyt.com.

IHC staining of FFPE human squamous cell carcinoma with VISTA antibody (clone VISTA/3007). HIER: boil tissue sections in pH9, 10mM Tris with 1mM EDTA, 10-20 min and allow to cool before testing.

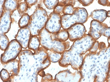
IHC staining of FFPE human placenta with VISTA antibody (clone VISTA/3007). HIER: boil tissue sections in pH9, 10mM Tris with 1mM EDTA, 10-20 min and allow to cool before testing.

Analysis of HuProt (TM) microarray containing more than 19000 full-length human proteins using VISTA antibody (clone VISTA/3007). These results demonstrate the foremost specificity of the VISTA/3007 mAb. Z- and S- score: The Z-score represents the strength of a signal that an antibody (in combination with a fluorescently-tagged anti-IgG secondary Ab) produces when binding to a particular protein on the HuProt (TM) array. Z-scores are described in units of standard deviations (SD's) above the mean value of all signals generated on that array. If the targets on the HuProt (TM) are arranged in descending order of the Z-score, the S-score is the difference (also in units of SD's) between the Z-scores. The S-score therefore represents the relative target specificity of an Ab to its intended target.

SDS-PAGE analysis of purified, BSA-free VISTA antibody (clone VISTA/3007) as confirmation of integrity and purity.
Quick Database Links
UniProt Details
−Documents Download
Request a Document
Protocol Information
VISTA Antibody / GI24 (orb607155)
Participating in our Biorbyt product reviews program enables you to support fellow scientists by sharing your firsthand experience with our products.
Login to Submit a Review













