You have no items in your shopping cart.
VTCN1 Antibody
Description
Images & Validation
−| Tested Applications | ELISA, IHC, WB |
|---|---|
| Dilution range | WB: 1:200-1:2000; IHC: 1:50-1:200 |
| Reactivity | Human, Mouse, Rat |
Key Properties
−| Antibody Type | Primary Antibody |
|---|---|
| Host | Rabbit |
| Clonality | Polyclonal |
| Isotype | IgG |
| Immunogen | V-set domain containing T cell activation inhibitor 1 |
| Target | VTCN1 |
| Molecular Weight | 34 kDa, observed 45 kDa |
| Purity | ≥95% as determined by SDS-PAGE |
| Purification | Immunogen affinity purified |
| Conjugation | Unconjugated |
Storage & Handling
−| Storage | Maintain refrigerated at 2-8°C for up to 2 weeks. For long term storage store at -20°C in small aliquots to prevent freeze-thaw cycles. |
|---|---|
| Form/Appearance | liquid |
| Disclaimer | For research use only |
Alternative Names
−Similar Products
−PPP2R1A Antibody [orb865557]
FC, ICC, IF, WB
Human, Monkey, Mouse, Rat
Rabbit
Polyclonal
Unconjugated
100 μgHuman V-Set Domain Containing T-Cell Activation Inhibitor 1 (VTCN1) ELISA Kit [orb777385]
Human
0.16-10 ng/mL
0.057 ng/mL
96 T, 48 TB7H4/VTCN1 Antibody [orb570363]
ELISA, FC, ICC, IF, IHC, WB
Human, Mouse, Rat
Rabbit
Polyclonal
Unconjugated
100 μgB7-H4 Antibody / VTCN1 [orb640004]
ELISA, FACS, IF, IHC-P, WB
Human
Mouse
Monoclonal
Unconjugated
20 μg, 100 μg

Quality Guarantee
Explore bioreagents carefree to elevate your research. All our products are rigorously tested for performance. If a product does not perform as described on its datasheet, our scientific support team will provide expert troubleshooting, a prompt replacement, or a refund. For full details, please see our Terms & Conditions and Buying Guide. Contact us at support@biorbyt.com.

mouse liver tissue were subjected to SDS PAGE followed by western blot with orb632565 (VTCN1 Antibody) at dilution of 1:600.

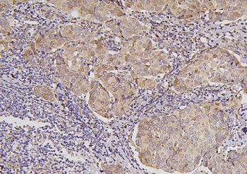
Immunohistochemistry of paraffin-embedded human ovary tumor tissue slide using orb632565 (VTCN1 Antibody) at dilution of 1:200.
Quick Database Links
UniProt Details
−Documents Download
Request a Document
Protocol Information
VTCN1 Antibody (orb632565)
Participating in our Biorbyt product reviews program enables you to support fellow scientists by sharing your firsthand experience with our products.
Login to Submit a Review


















