You have no items in your shopping cart.
Zap-70 (Phospho-Tyr493) Antibody
Description
Images & Validation
−| Tested Applications | IHC, WB |
|---|---|
| Reactivity | Human, Mouse, Rat |
Key Properties
−| Antibody Type | Primary Antibody |
|---|---|
| Host | Rabbit |
| Clonality | Polyclonal |
| Conjugation | Unconjugated |
Storage & Handling
−| Storage | Maintain refrigerated at 2-8°C for up to 2 weeks. For long term storage store at -20°C in small aliquots to prevent freeze-thaw cycles. |
|---|---|
| Expiration Date | 12 months from date of receipt. |
| Disclaimer | For research use only |
Similar Products
−Phospho-ZAP70 (Tyr493) Rabbit Polyclonal Antibody (FITC) [orb9989]
ICC
Bovine, Equine, Mouse, Porcine, Rabbit, Rat
Human
Rabbit
Polyclonal
FITC
100 μlZAP-70 (Phospho-Tyr493) Antibody [orb223136]
IHC, WB
Human, Mouse, Rat
Rabbit
Polyclonal
Unconjugated
50 μg, 100 μg, 25 μg, 200 μgPhospho-ZAP70 (Tyr493) Rabbit Polyclonal Antibody (PE) [orb505748]
ICC
Bovine, Equine, Mouse, Porcine, Rabbit, Rat
Human
Rabbit
Polyclonal
PE
100 μlPhospho-ZAP70 (Tyr493) Rabbit Polyclonal Antibody (HRP) [orb503273]
ELISA, WB
Bovine, Equine, Mouse, Porcine, Rabbit, Rat
Human
Rabbit
Polyclonal
HRP
100 μl

Quality Guarantee
Explore bioreagents carefree to elevate your research. All our products are rigorously tested for performance. If a product does not perform as described on its datasheet, our scientific support team will provide expert troubleshooting, a prompt replacement, or a refund. For full details, please see our Terms & Conditions and Buying Guide. Contact us at support@biorbyt.com.

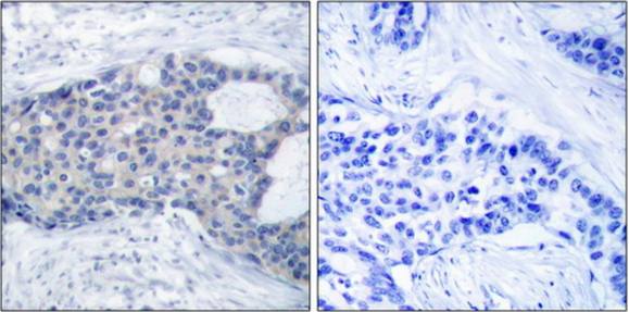
Immunohistochemical analysis of paraffin-embedded human breast carcinoma tissue, using Zap-70 (phospho-Tyr493) antibody

Immunohistochemical analysis of paraffin-embedded human breast carcinoma tissue, using Zap-70 (phospho-Tyr493) antibody

Western blot analysis of extracts from JK cells untreated or treated with H2O2 (2mM 3min) using Zap-70 (phospho-Tyr493) antibody
Quick Database Links
UniProt Details
−Documents Download
Request a Document
Protocol Information
Zap-70 (Phospho-Tyr493) Antibody (orb14874)
Participating in our Biorbyt product reviews program enables you to support fellow scientists by sharing your firsthand experience with our products.
Login to Submit a Review



