You have no items in your shopping cart.
ACVRL1 Antibody
Description
Research Area
Images & Validation
−| Tested Applications | ELISA, IF, IHC, WB |
|---|---|
| Dilution range | WB: 1: 500-1: 3000, IHC-P: 1: 50-1: 100, IF: 1: 100-1: 500 |
| Reactivity | Human, Mouse, Rat |
Key Properties
−| Host | Rabbit |
|---|---|
| Clonality | Polyclonal |
| Isotype | IgG |
| Immunogen | Synthesized peptide derived from internal of Human ACVL1. |
| Target | ACVRL1 |
| Purification | The antibody was affinity-purified from rabbit antiserum by affinity-chromatography using epitope-specific immunogen. |
| Conjugation | Unconjugated |
Storage & Handling
−| Storage | Maintain refrigerated at 2-8°C for up to 2 weeks. For long term storage store at -20°C in small aliquots to prevent freeze-thaw cycles. |
|---|---|
| Form/Appearance | liquid |
| Buffer/Preservatives | Rabbit IgG in phosphate buffered saline (without Mg2+ and Ca2+), pH 7.4, 150mM NaCl, 0.02% sodium azide and 50% glycerol. |
| Disclaimer | For research use only |
Alternative Names
−Similar Products
−ACVRL1 Rabbit Polyclonal Antibody [orb1974726]
IF, IHC-Fr, IHC-P
Canine, Equine, Porcine
Human, Mouse, Rat
Rabbit
Polyclonal
Unconjugated
50 μl, 100 μl, 200 μlACVRL1 Antibody (N-term) [orb1928871]
FC, IHC-P, WB
Human, Mouse
Rabbit
Polyclonal
Unconjugated
100 μl, 50 μlALK-1/ACVRL1 Antibody [orb745936]
ELISA, FC, IHC, WB
Human, Mouse, Rat
Rabbit
Polyclonal
Unconjugated
100 μgHuman Activin Receptor Like Kinase 1 (ALK1) ELISA Kit [orb776531]
Human
0.16-10 ng/mL
0.055 ng/mL
96 T, 48 TALK-1 rabbit pAb Antibody [orb766787]
ELISA, IF, IHC, WB
Human, Mouse, Rat
Polyclonal
Unconjugated
50 μl, 100 μl

Quality Guarantee
Explore bioreagents carefree to elevate your research. All our products are rigorously tested for performance. If a product does not perform as described on its datasheet, our scientific support team will provide expert troubleshooting, a prompt replacement, or a refund. For full details, please see our Terms & Conditions and Buying Guide. Contact us at support@biorbyt.com.

Western blot analysis of 3T3 cells (Lane 2) using ACVRL1 antibody

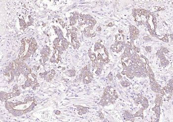
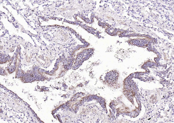
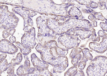
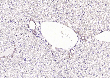
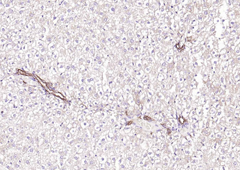
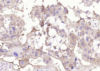
Immunohistochemical staining of human breast carcinoma tissue using ACVRL1 antibody

Immunofluorescence analysis of HeLa cells using ACVRL1 antibody

Western blot analysis of K562 cells using ACVRL1 antibody
Quick Database Links
UniProt Details
−Documents Download
Request a Document
Protocol Information
ACVRL1 Antibody (orb685602)
Participating in our Biorbyt product reviews program enables you to support fellow scientists by sharing your firsthand experience with our products.
Login to Submit a Review




















