You have no items in your shopping cart.
ADH1A Recombinant Rabbit Monoclonal Antibody
Description
Research Area
Images & Validation
−| Tested Applications | ICC, IF, IHC-Fr, IHC-P, WB |
|---|---|
| Dilution Range | WB=1:500-2000, IHC-P=1:100-500, IHC-F=1:400-800, ICC/IF=1:50-100, IF=1:100-500 |
| Reactivity | Human, Mouse, Rat |
| Predicted Reactivity | Human, Mouse |
Key Properties
−| Antibody Type | Primary Antibody |
|---|---|
| Host | Rabbit |
| Clonality | Recombinant |
| Isotype | IgG |
| Clone No. | 14D1 |
| Immunogen | Recombinant human ADH1A |
| Target | ADH1A |
| Molecular Weight | 41 kDa |
| Purification | Affinity purified by Protein A |
| Conjugation | Unconjugated |
Storage & Handling
−| Storage | Maintain refrigerated at 2-8°C for up to 2 weeks. For long term storage store at -20°C in small aliquots to prevent freeze-thaw cycles. |
|---|---|
| Form/Appearance | Liquid |
| Buffer/Preservatives | 0.01M TBS (pH7.4) with 1% rAlbumin, 0.02% Proclin300 and 50% Glycerol. |
| Concentration | 1mg/ml |
| Expiration Date | 12 months from date of receipt. |
| Disclaimer | For research use only |
Alternative Names
−
Quality Guarantee
Explore bioreagents carefree to elevate your research. All our products are rigorously tested for performance. If a product does not perform as described on its datasheet, our scientific support team will provide expert troubleshooting, a prompt replacement, or a refund. For full details, please see our Terms & Conditions and Buying Guide. Contact us at support@biorbyt.com.

ICC staining Alcohol Dehydrogenase in HepG2 cells (green). The nuclear counter stain is DAPI (blue). Cells were fixed in paraformaldehyde, permeabilised with 0.25% Triton X100/PBS.

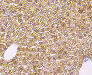
Immunohistochemical analysis of paraffin-embedded human liver tissue using anti-Alcohol Dehydrogenase antibody. Counter stained with hematoxylin.

Immunohistochemical analysis of paraffin-embedded mouse liver tissue using anti-Alcohol Dehydrogenase antibody. Counter stained with hematoxylin.

Immunohistochemical analysis of paraffin-embedded rat liver tissue using anti-Alcohol Dehydrogenase antibody. Counter stained with hematoxylin.

Sample: Lane 1: Rat Liver tissue lysates, Primary: Anti-ADH1A (orb1499353) at 1/500 dilution, Secondary: IRDye800CW Goat Anti-Rabbit IgG at 1/20000 dilution, Predicted band size: 41 kDa, Observed band size: 41 kDa.
Quick Database Links
UniProt Details
−Documents Download
Request a Document
Protocol Information
ADH1A Recombinant Rabbit Monoclonal Antibody (orb1499353)
Participating in our Biorbyt product reviews program enables you to support fellow scientists by sharing your firsthand experience with our products.
Login to Submit a Review