You have no items in your shopping cart.
AFM Antibody
Description
Research Area
Images & Validation
−| Tested Applications | ELISA, IHC, IP, WB |
|---|---|
| Dilution Range | WB: 1:200-1:2000; IP: 1:200-1:2000; IHC: 1:20-1:200 |
| Reactivity | Human, Mouse |
Key Properties
−| Antibody Type | Primary Antibody |
|---|---|
| Host | Mouse |
| Clonality | Monoclonal |
| Isotype | IgG1 |
| Immunogen | afamin |
| Target | AFM |
| Molecular Weight | 69 kDa, observed 85 kDa |
| Purity | ≥95% as determined by SDS-PAGE |
| Purification | Protein A+G purified |
| Conjugation | Unconjugated |
Storage & Handling
−| Storage | Maintain refrigerated at 2-8°C for up to 2 weeks. For long term storage store at -20°C in small aliquots to prevent freeze-thaw cycles. |
|---|---|
| Form/Appearance | liquid |
| Disclaimer | For research use only |
Alternative Names
−Similar Products
−AFM Rabbit Polyclonal Antibody [orb669154]
ELISA, FC, IHC, WB
Human
Rabbit
Polyclonal
Unconjugated
100 μgAfm Rabbit Polyclonal Antibody [orb669155]
ELISA, FC, IHC, WB
Mouse, Rat
Rabbit
Polyclonal
Unconjugated
100 μgAfamin/alpha Albumin Antibody [orb20305]
ELISA, WB
Bovine, Canine, Mouse, Rat
Human
Goat
Polyclonal
Unconjugated
100 μg

Quality Guarantee
Explore bioreagents carefree to elevate your research. All our products are rigorously tested for performance. If a product does not perform as described on its datasheet, our scientific support team will provide expert troubleshooting, a prompt replacement, or a refund. For full details, please see our Terms & Conditions and Buying Guide. Contact us at support@biorbyt.com.

IP Result of anti-AFM (IP: orb394678, 4 ug; Detection: orb394678 1:2000) with human plasma lysate 4000 ug.

human blood tissue were subjected to SDS PAGE followed by western blot with orb394678 (AFM antibody) at dilution of 1:1000.

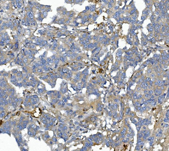
Immunohistochemistry of paraffin-embedded human liver tissue slide using orb394678 (AFM Antibody) at dilution of 1:50.
Quick Database Links
UniProt Details
−Documents Download
Request a Document
Protocol Information
AFM Antibody (orb394678)
Participating in our Biorbyt product reviews program enables you to support fellow scientists by sharing your firsthand experience with our products.
Login to Submit a Review









