You have no items in your shopping cart.
AGER Rabbit Polyclonal Antibody
Description
Research Area
Images & Validation
−| Tested Applications | WB |
|---|---|
| Reactivity | Human, Mouse |
| Predicted Reactivity | Bovine, Canine, Equine, Guinea pig, Porcine, Rabbit, Rat |
Key Properties
−| Host | Rabbit |
|---|---|
| Clonality | Polyclonal |
| Immunogen | The immunogen is a synthetic peptide directed towards the N terminal region of human AGER |
| Target | AGER |
| Protein Sequence | Synthetic peptide located within the following region: FLPAVGIQDEGIFRCQAMNRNGKETKSNYRVRVYQIPGKPEIVDSASELT |
| Molecular Weight | 36kDa |
| Purification | Affinity Purified |
| Conjugation | Unconjugated |
Storage & Handling
−| Storage | Maintain refrigerated at 2-8°C for up to 2 weeks. For long term storage store at -20°C in small aliquots to prevent freeze-thaw cycles. |
|---|---|
| Buffer/Preservatives | Liquid. Purified antibody supplied in 1x PBS buffer with 0.09% (w/v) sodium azide and 2% sucrose. |
| Concentration | 0.5 mg/ml |
| Expiration Date | 12 months from date of receipt. |
| Disclaimer | For research use only |
Alternative Names
−Similar Products
−RAGE Rabbit Polyclonal Antibody [orb10063]
FC, IF, IHC-Fr, IHC-P, WB
Human, Mouse
Human, Mouse, Rat
Rabbit
Polyclonal
Unconjugated
100 μl, 200 μl, 50 μlRAGE Rabbit Polyclonal Antibody [orb155611]
IF, IHC-Fr, IHC-P, WB
Bovine, Canine, Human, Porcine
Mouse, Rat
Rabbit
Polyclonal
Unconjugated
200 μl, 50 μl, 100 μlRAGE rabbit pAb Antibody [orb767888]
ELISA, IF, IHC, WB
Human, Mouse, Rat
Polyclonal
Unconjugated
50 μl, 100 μlRAGE Rabbit Polyclonal Antibody (FITC) [orb15071]
FC, IF
Human, Mouse, Rat
Rabbit
Polyclonal
FITC
100 μlRAGE/AGER Rabbit Polyclonal Antibody [orb1098124]
ELISA, FC, ICC, IF, IHC, WB
Human, Mouse, Rat
Rabbit
Polyclonal
Unconjugated
100 μg

Quality Guarantee
Explore bioreagents carefree to elevate your research. All our products are rigorously tested for performance. If a product does not perform as described on its datasheet, our scientific support team will provide expert troubleshooting, a prompt replacement, or a refund. For full details, please see our Terms & Conditions and Buying Guide. Contact us at support@biorbyt.com.

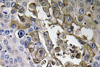
Sample Tissue: Mouse Pancreas, Antibody Dilution: 1 ug/ml.

Sample Tissue: Human MCF7 Whole Cell, Antibody Dilution: 1 ug/ml.

Lane 1: 10 ug of hRAGE HEK-293 lysate, Lane 2: 10 ug of mRAGE HEK-293 lysate, Primary Antibody Dilution: 1:1000, Secondary Antibody: Anti-rabbit-HRP, Secondary Antibody Dilution: 1:2500, Gene Name: AGER.

WB Suggested Anti-AGER Antibody Titration: 0.2-1 ug/ml, ELISA Titer: 1:62500, Positive Control: THP-1 cell lysate.
Documents Download
Request a Document
AGER Rabbit Polyclonal Antibody (orb578077)
Participating in our Biorbyt product reviews program enables you to support fellow scientists by sharing your firsthand experience with our products.
Login to Submit a Review















