You have no items in your shopping cart.
AHSA1 Antibody
Description
Images & Validation
−| Tested Applications | ELISA, IF, IHC, IP, WB |
|---|---|
| Dilution range | WB: 1:200-1:2000; IF: 1:20-1:200; IHC: 1:20-1:200; IP: 1:200-1:2000 |
| Reactivity | Human, Mouse, Rat |
Key Properties
−| Antibody Type | Primary Antibody |
|---|---|
| Host | Rabbit |
| Clonality | Polyclonal |
| Isotype | IgG |
| Immunogen | AHA1, activator of heat shock 90kDa protein ATPase homolog 1(yeast) |
| Target | AHSA1 |
| Molecular Weight | 38 kDa |
| Purity | ≥95% as determined by SDS-PAGE |
| Purification | Immunogen affinity purified |
| Conjugation | Unconjugated |
Storage & Handling
−| Storage | Maintain refrigerated at 2-8°C for up to 2 weeks. For long term storage store at -20°C in small aliquots to prevent freeze-thaw cycles. |
|---|---|
| Form/Appearance | liquid |
| Disclaimer | For research use only |
Alternative Names
−Similar Products
−AHA1/AHSA1 Antibody [orb1145840]
ELISA, FC, ICC, IF, IHC, WB
Human, Mouse, Rat
Rabbit
Polyclonal
Unconjugated
100 μg

Quality Guarantee
Explore bioreagents carefree to elevate your research. All our products are rigorously tested for performance. If a product does not perform as described on its datasheet, our scientific support team will provide expert troubleshooting, a prompt replacement, or a refund. For full details, please see our Terms & Conditions and Buying Guide. Contact us at support@biorbyt.com.

IP Result of anti-AHSA1 (IP: orb624569, 4 ug; Detection: orb624569 1:500) with mouse brain tissue lysate 2640 ug.

A549 cells were subjected to SDS PAGE followed by western blot with orb624569 (AHSA1 Antibody) at dilution of 1:600.

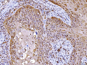
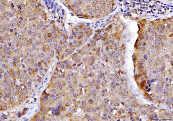
Immunohistochemistry of paraffin-embedded human gliomas using orb624569 (AHSA1 antibody) at dilution of 1:50.
Quick Database Links
UniProt Details
−Documents Download
Request a Document
Protocol Information
AHSA1 Antibody (orb624569)
Participating in our Biorbyt product reviews program enables you to support fellow scientists by sharing your firsthand experience with our products.
Login to Submit a Review



























