You have no items in your shopping cart.
AIF Mouse Monoclonal Antibody
Description
Images & Validation
−| Tested Applications | IF, IHC, WB |
|---|---|
| Dilution Range | Western Blot 1:500, Immunofluorescence 1:100 – 1:300, Immunohistochemistry (Paraffin) 1:100 – 1:300 |
| Reactivity | Human, Mouse, Rat |
| Application Notes |
Key Properties
−| Antibody Type | Primary Antibody |
|---|---|
| Host | Mouse |
| Clonality | Monoclonal |
| Target | AIF |
| Conjugation | Unconjugated |
Storage & Handling
−| Storage | Maintain refrigerated at 2-8°C for up to 2 weeks. For long term storage store at -20°C in small aliquots to prevent freeze-thaw cycles. |
|---|---|
| Buffer/Preservatives | Phosphate-buffered solution, pH 7.2, 20% Glycerol (pH7). 0.025% ProClin 300 was added as a preservative |
| Expiration Date | 12 months from date of receipt. |
| Disclaimer | For research use only |
Similar Products
−AIF/AIFM1 Mouse Monoclonal Antibody [orb547790]
FC, ICC, IF, IHC, WB
Human, Mouse, Rat
Mouse
Monoclonal
Unconjugated
100 μgAIFM1 Mouse Monoclonal Antibody [orb1474188]
IF, WB
Human
Mouse
Monoclonal
Unconjugated
200 μl, 100 μl, 30 μl, 50 μlAIF1 Mouse Monoclonal Antibody [orb1292524]
ELISA, IHC
Human
Mouse
Monoclonal
Unconjugated
50 μg, 100 μgAIF AIFM1 Rabbit Monoclonal Antibody [orb547789]
FC, ICC, IF, IHC, IP, WB
Human, Mouse, Rat
Rabbit
Monoclonal
Unconjugated
100 μl

Quality Guarantee
Explore bioreagents carefree to elevate your research. All our products are rigorously tested for performance. If a product does not perform as described on its datasheet, our scientific support team will provide expert troubleshooting, a prompt replacement, or a refund. For full details, please see our Terms & Conditions and Buying Guide. Contact us at support@biorbyt.com.

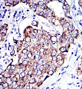
Immunohistochemical analysis of paraffin embedded human Hepatocellular carcinoma tissue labeling AIF monoclonal antibody with orb1973126 at 1/200.

Immunohistochemical analysis of paraffin embedded human Hepatocellular carcinoma tissue labeling AIF monoclonal antibody with orb1973126 at 1/200.

Immunohistochemical analysis of paraffin embedded human Hepatocellular carcinoma tissue labeling AIF monoclonal antibody with orb1973126 at 1/200.

Lysates at 30 µg per lane. This blot was produced using a 7.5% SDS-PAGE. Nitrocellulose membrane was then blocked for an hour before being incubated with orb1973126 overnight at 4°C. Anti-AIF monoclonal antibody at 1/1000 dilution.
Quick Database Links
Documents Download
Request a Document
Protocol Information
AIF Mouse Monoclonal Antibody (orb1973126)
Participating in our Biorbyt product reviews program enables you to support fellow scientists by sharing your firsthand experience with our products.
Login to Submit a Review














