You have no items in your shopping cart.
Akt (Phospho-Thr308) Antibody
Description
Research Area
Images & Validation
−| Tested Applications | IHC, WB |
|---|---|
| Dilution Range | WB: 1:500-1:3000, IHC-P: 1:50-1:100, ELISA: 1:10000 |
| Reactivity | Human, Mouse, Rat |
Key Properties
−| Host | Rabbit |
|---|---|
| Clonality | Polyclonal |
| Immunogen | Internal |
| Conjugation | Unconjugated |
Storage & Handling
−| Storage | Maintain refrigerated at 2-8°C for up to 2 weeks. For long term storage store at -20°C in small aliquots to prevent freeze-thaw cycles. |
|---|---|
| Concentration | 1mg/ml |
| Expiration Date | 12 months from date of receipt. |
| Disclaimer | For research use only |
Alternative Names
−Similar Products
−Phospho-Akt (Thr308) Rabbit Polyclonal Antibody [orb14786]
FC, IF, IHC-Fr, IHC-P, WB
Bovine, Canine, Gallus, Porcine, Rabbit, Sheep
Human, Mouse, Rat
Rabbit
Polyclonal
Unconjugated
50 μl, 200 μl, 100 μlAkt (phospho Thr308) rabbit pAb Antibody [orb764338]
ELISA, IF, IHC, WB
Human, Mouse, Rat
Polyclonal
Unconjugated
100 μlAkt (Phospho-Thr308) Antibody [orb5681]
IF, IHC, WB
Human, Mouse, Rat
Rabbit
Recombinant
Unconjugated
50 μl, 100 μlAkt (phospho Thr308) Polyclonal Antibody [orb1415178]
WB
Human, Mouse, Rat
Rabbit
Polyclonal
Unconjugated
100 μlAkt (Phospho-Thr308) Antibody [orb222851]
IHC, WB
Human, Mouse, Rat
Rabbit
Polyclonal
Unconjugated
50 μg, 25 μg, 100 μg, 200 μg

Quality Guarantee
Explore bioreagents carefree to elevate your research. All our products are rigorously tested for performance. If a product does not perform as described on its datasheet, our scientific support team will provide expert troubleshooting, a prompt replacement, or a refund. For full details, please see our Terms & Conditions and Buying Guide. Contact us at support@biorbyt.com.

Western blot analysis of 293 cells untreated (Lane 1) 293 cells treated with insulin(Lane 2) using Akt(Phospho-Thr308) Antibody.

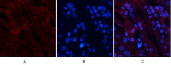
Immunohistochemical analysis of lung carcinoma using Akt(Phospho-Thr308) Antibody.
Documents Download
Request a Document
Protocol Information
Janecka-Wid?a, Anna et al. Prognostic potential of Akt, pAkt(Ser473) and pAkt(Thr308) immunoreactivity in relation to HPV prevalence in head and neck squamous cell carcinoma patients Pathol Res Pract, 229, 153684 (2021)
Akt (Phospho-Thr308) Antibody (orb222952)
Participating in our Biorbyt product reviews program enables you to support fellow scientists by sharing your firsthand experience with our products.
Login to Submit a Review
















