You have no items in your shopping cart.
AKT1 / AKT2 / AKT3 Recombinant Rabbit Monoclonal Antibody
Description
Research Area
Images & Validation
−| Tested Applications | IF, IHC-Fr, IHC-P, WB |
|---|---|
| Dilution Range | WB=1:500-2000, IHC-P=1:100-500, IHC-F=1:50-100, IF=1:100-500 |
| Reactivity | Human, Mouse, Rat |
| Predicted Reactivity | Human, Mouse, Rat |
Key Properties
−| Antibody Type | Primary Antibody |
|---|---|
| Host | Rabbit |
| Clonality | Recombinant |
| Isotype | IgG |
| Clone No. | R3F4 |
| Immunogen | KLH conjugated synthetic peptide derived from human AKT1 / AKT2 / AKT3 |
| Target | AKT2 |
| Molecular Weight | 56 kDa |
| Purification | Affinity purified by Protein A |
| Conjugation | Unconjugated |
Storage & Handling
−| Storage | Maintain refrigerated at 2-8°C for up to 2 weeks. For long term storage store at -20°C in small aliquots to prevent freeze-thaw cycles. |
|---|---|
| Form/Appearance | Liquid |
| Buffer/Preservatives | 0.01M TBS (pH7.4) with 1% rAlbumin, 0.02% Proclin300 and 50% Glycerol. |
| Concentration | 1mg/ml |
| Expiration Date | 12 months from date of receipt. |
| Disclaimer | For research use only |
Alternative Names
−Similar Products
−AKT1 / AKT2 / AKT3 Recombinant Rabbit Monoclonal Antibody [orb1499280]
IF, IHC-Fr, IHC-P, WB
Human, Mouse, Rat
Human, Mouse, Rat
Rabbit
Recombinant
Unconjugated
25 μl, 50 μl, 100 μl

Quality Guarantee
Explore bioreagents carefree to elevate your research. All our products are rigorously tested for performance. If a product does not perform as described on its datasheet, our scientific support team will provide expert troubleshooting, a prompt replacement, or a refund. For full details, please see our Terms & Conditions and Buying Guide. Contact us at support@biorbyt.com.

Blocking buffer: 5% NFDM/TBST, Primary Ab Dilution: 1:1000, Primary Ab incubation condition: 2 hours at room temperature, Secondary Ab: Goat Anti-Rabbit IgG H&L (HRP), Lysate: 1: MCF7, 2: HeLa, 3: A549, Protein loading quantity: 20 µg, Exposure time: 60 s, Predicted MW: 56 kDa, Observed MW: 56 kDa.

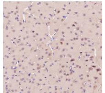
Tissue: Human cerebrum, Section type: Formalin-fixed & Paraffin embedded section, Retrieval method: High temperature and high pressure, Retrieval buffer: Tris/EDTA buffer, pH9.0, Primary Ab Dilution: 1:100, Primary Ab incubation condition: 1 hour at room temperature, Secondary Ab: Anti-Rabbit and Mouse, Polymer HRP (Ready to use), Counter stain: Hematoxylin (Blue), Comment: Color brown is the positive signal for orb1499311.

Tissue: Human colon carcinoma, Section type: Formalin-fixed & Paraffin embedded section, Retrieval method: High temperature and high pressure, Retrieval buffer: Tris/EDTA buffer, pH9.0, Primary Ab Dilution: 1:100, Primary Ab incubation condition: 1 hour at room temperature, Secondary Ab: Anti-Rabbit and Mouse, Polymer HRP (Ready to use), Counter stain: Hematoxylin (Blue), Comment: Color brown is the positive signal for orb1499311.

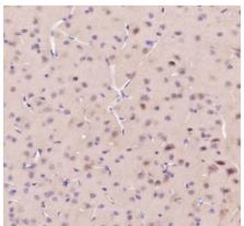
Tissue: Mouse cerebrum, Section type: Formalin-fixed & Paraffin embedded section, Retrieval method: High temperature and high pressure, Retrieval buffer: Tris/EDTA buffer, pH9.0, Primary Ab Dilution: 1:100, Primary Ab incubation condition: 1 hour at room temperature, Secondary Ab: Anti-Rabbit and Mouse, Polymer HRP (Ready to use), Counter stain: Hematoxylin (Blue), Comment: Color brown is the positive signal for orb1499311.

Tissue: Rat cerebrum, Section type: Formalin-fixed & Paraffin embedded section, Retrieval method: High temperature and high pressure, Retrieval buffer: Tris/EDTA buffer, pH9.0, Primary Ab Dilution: 1:100, Primary Ab incubation condition: 1 hour at room temperature, Secondary Ab: Anti-Rabbit and Mouse, Polymer HRP (Ready to use), Counter stain: Hematoxylin (Blue), Comment: Color brown is the positive signal for orb1499311.
Quick Database Links
UniProt Details
−Documents Download
Request a Document
Protocol Information
AKT1 / AKT2 / AKT3 Recombinant Rabbit Monoclonal Antibody (orb1499311)
Participating in our Biorbyt product reviews program enables you to support fellow scientists by sharing your firsthand experience with our products.
Login to Submit a Review

