You have no items in your shopping cart.
aldehyde dehydrogenase 1 family member A2 Antibody
Description
Research Area
Images & Validation
−| Tested Applications | IHC, IHC-P, WB |
|---|---|
| Dilution Range | WB: 1:500-1:3000 , IHC-P: 1:100-1:1000 |
| Reactivity | Human, Mouse, Rat, Zebrafish |
| Application Notes |
Key Properties
−| Antibody Type | Primary Antibody |
|---|---|
| Host | Rabbit |
| Clonality | Polyclonal |
| Isotype | IgG |
| Immunogen | Recombinant protein encompassing a sequence within the center region of human ALDH1A2. The exact sequence is proprietary. |
| Target | ALDH1A2 |
| Molecular Weight | 57 |
| Purity | Purified by antigen-affinity chromatography. |
| Purification | Purified by antigen-affinity chromatography. |
| Conjugation | Unconjugated |
Storage & Handling
−| Storage | Store as concentrated solution. Centrifuge briefly prior to opening vial. For short-term storage (1-2 weeks), store at 4°C. For long-term storage, aliquot and store at -20°lC or below. Avoid multiple freeze-thaw cycles. |
|---|---|
| Form/Appearance | Liquid: 1XPBS, 1% rAlbumin, 20% Glycerol (pH7). 0.025% ProClin 300 was added as a preservative. |
| Buffer/Preservatives | PBS, 1% rAlbumin, 20% Glycerol, 0.025% ProClin 300. |
| Concentration | 0.43 mg/ml |
| Expiration Date | 12 months from date of receipt. |
| Disclaimer | For research use only |
Alternative Names
−Similar Products
−ALDH1A2 Rabbit Polyclonal Antibody [orb6840]
IF, IHC-Fr, IHC-P, WB
Bovine, Canine, Equine, Porcine, Rabbit
Human, Mouse, Rat
Rabbit
Polyclonal
Unconjugated
50 μl, 100 μl, 200 μlHuman Aldehyde Dehydrogenase 1 Family, Member A2 (ALDH1A2) ELISA Kit [orb777094]
Human
0.63-40 ng/mL
0.212 ng/mL
96 T, 48 TALDH1A2 Rabbit Polyclonal Antibody [orb371715]
ICC, WB
Human, Monkey
Rabbit
Polyclonal
Unconjugated
100 μgALDH1A2 Antibody [orb523592]
ELISA, IHC, WB
Human, Mouse, Rat
Rabbit
Polyclonal
Unconjugated
50 μl, 100 μl

Quality Guarantee
Explore bioreagents carefree to elevate your research. All our products are rigorously tested for performance. If a product does not perform as described on its datasheet, our scientific support team will provide expert troubleshooting, a prompt replacement, or a refund. For full details, please see our Terms & Conditions and Buying Guide. Contact us at support@biorbyt.com.

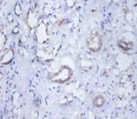
Immunohistochemical staining of mouse testis using ALDH1A2 antibody

Western blot analysis of Mouse tissue using ALDH1A2 antibody

Western blot analysis of Rat tissue using ALDH1A2 antibody

Western blot analysis of IMR32 cell using ALDH1A2 antibody

Western blot analysis of mouse liver using ALDH1A2 antibody
Quick Database Links
UniProt Details
−Documents Download
Request a Document
Protocol Information
aldehyde dehydrogenase 1 family member A2 Antibody (orb556947)
Participating in our Biorbyt product reviews program enables you to support fellow scientists by sharing your firsthand experience with our products.
Login to Submit a Review














