You have no items in your shopping cart.
Description
Research Area
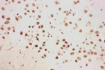
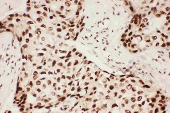
Images & Validation
−| Tested Applications | WB |
|---|---|
| Reactivity | Human |
| Predicted Reactivity | Bovine, Canine, Equine, Guinea pig, Mouse, Rabbit, Rat |
Key Properties
−| Host | Rabbit |
|---|---|
| Clonality | Polyclonal |
| Immunogen | The immunogen is a synthetic peptide directed towards the C-terminal region of Human ALOX5 |
| Target | ALOX5 |
| Protein Sequence | Synthetic peptide located within the following region: FGQLFLGMYPEEHFIEKPVKEAMARFRKNLEAIVSVIAERNKKKQLPYYY |
| Molecular Weight | 67kDa |
| Purification | Affinity Purified |
| Conjugation | Unconjugated |
Storage & Handling
−| Storage | Maintain refrigerated at 2-8°C for up to 2 weeks. For long term storage store at -20°C in small aliquots to prevent freeze-thaw cycles. |
|---|---|
| Buffer/Preservatives | Liquid. Purified antibody supplied in 1x PBS buffer with 0.09% (w/v) sodium azide and 2% sucrose. |
| Concentration | 0.5 mg/ml |
| Expiration Date | 12 months from date of receipt. |
| Disclaimer | For research use only |
Alternative Names
−Similar Products
−5 Lipoxygenase/ALOX5 Rabbit Polyclonal Antibody [orb234258]
IHC, WB
Human, Mouse, Rat
Rabbit
Polyclonal
Unconjugated
100 μgALOX5 Rabbit Polyclonal Antibody [orb10010]
FC, WB
Bovine, Canine, Equine, Porcine, Rabbit
Human, Mouse, Rat
Rabbit
Polyclonal
Unconjugated
50 μl, 100 μl, 200 μlPhospho-ALOX5 (Ser271) Rabbit Polyclonal Antibody [orb5647]
FC, IF, IHC-Fr, IHC-P
Mouse
Human, Rat
Rabbit
Polyclonal
Unconjugated
50 μl, 100 μl, 200 μlPhospho-ALOX5 (Ser663) Rabbit Polyclonal Antibody [orb5648]
IF, IHC-Fr, IHC-P, WB
Bovine, Canine, Porcine, Rabbit
Human, Mouse, Rat
Rabbit
Polyclonal
Unconjugated
200 μl, 50 μl, 100 μlPhospho-ALOX5 (Ser524) Rabbit Polyclonal Antibody [orb184826]
IF, IHC-Fr, IHC-P
Human
Rabbit
Polyclonal
Unconjugated
50 μl, 200 μl, 100 μl

Quality Guarantee
Explore bioreagents carefree to elevate your research. All our products are rigorously tested for performance. If a product does not perform as described on its datasheet, our scientific support team will provide expert troubleshooting, a prompt replacement, or a refund. For full details, please see our Terms & Conditions and Buying Guide. Contact us at support@biorbyt.com.

Sample Type: HepG2 Whole Cell lysates, Antibody dilution: 1.0 ug/ml.
Quick Database Links
UniProt Details
−NCBI Reference Sequences
−| Protein | NP_001243083 |
|---|
Documents Download
Request a Document
ALOX5 Rabbit Polyclonal Antibody (orb331210)
Participating in our Biorbyt product reviews program enables you to support fellow scientists by sharing your firsthand experience with our products.
Login to Submit a Review














