You have no items in your shopping cart.
ALS2 Rabbit Polyclonal Antibody
Description
Images & Validation
−| Tested Applications | ELISA, IHC, WB |
|---|---|
| Dilution Range | WB: 1:200-1:1,000 |
| Reactivity | Human |
| Predicted Reactivity | Mouse, Rat |
| Application Notes |
Key Properties
−| Host | Rabbit |
|---|---|
| Clonality | Polyclonal |
| Isotype | IgG |
| Immunogen | Recombinant fragment corresponding to 177-414aa of human ALS2. |
| Target | ALS2 |
| Molecular Weight | 184KD, 43KD, 87KD |
| Purification | Purified by antigen affinity column. |
| Conjugation | Unconjugated |
Storage & Handling
−| Storage | Maintain refrigerated at 2-8°C for up to 2 weeks. For long term storage store at -20°C in small aliquots to prevent freeze-thaw cycles. |
|---|---|
| Form/Appearance | Lyophilized power with 1% rAlbumin and 0.02% NaN3. |
| Expiration Date | 12 months from date of receipt. |
| Disclaimer | For research use only |
Alternative Names
−Similar Products
−ALS2 Rabbit Polyclonal Antibody [orb624666]
ELISA, IHC, WB
Human, Mouse, Rat
Rabbit
Polyclonal
Unconjugated
50 μg, 100 μgALS2 Rabbit Polyclonal Antibody [orb583578]
WB
Bovine, Canine, Equine, Guinea pig, Mouse, Porcine, Rabbit, Rat
Human
Rabbit
Polyclonal
Unconjugated
100 μlALS2 polyclonal antibody [orb649207]
IF, WB
Human, Mouse, Rat
Rabbit
Polyclonal
Unconjugated
200 μl, 100 μl, 50 μl

Quality Guarantee
Explore bioreagents carefree to elevate your research. All our products are rigorously tested for performance. If a product does not perform as described on its datasheet, our scientific support team will provide expert troubleshooting, a prompt replacement, or a refund. For full details, please see our Terms & Conditions and Buying Guide. Contact us at support@biorbyt.com.

Western blot analysis of fetal kidney,fetl lung,fetal liver,HepG2 lysate using ALS2 antibody

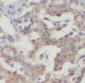
Immunohistochemical analysis of formalin-fixed paraffin embedded fetal lung showing cytoplasmic staining using ALS2 antibody
Quick Database Links
Documents Download
Request a Document
Protocol Information
ALS2 Rabbit Polyclonal Antibody (orb78001)
Participating in our Biorbyt product reviews program enables you to support fellow scientists by sharing your firsthand experience with our products.
Login to Submit a Review





