You have no items in your shopping cart.
Amyloid Precursor Protein Rabbit Polyclonal Antibody
Description
Research Area
Images & Validation
−| Tested Applications | ICC, IF, IHC-Fr, IHC-P |
|---|---|
| Dilution Range | IHC-P=1:100-500, IHC-F=1:100-500, ICC/IF=1:100-500, IF=1:100-500 |
| Reactivity | Human, Rat |
| Predicted Reactivity | Bovine, Canine, Equine, Gallus, Mouse, Porcine, Rabbit, Sheep |
Related Conjugates & Formulations
−Key Properties
−| Antibody Type | Primary Antibody |
|---|---|
| Host | Rabbit |
| Clonality | Polyclonal |
| Isotype | IgG |
| Immunogen | KLH conjugated synthetic peptide derived from of human APP (381-480/770aa) |
| Target | APP |
| Molecular Weight | 72-83 kDa |
| Purification | Affinity purified by Protein A |
| Conjugation | Unconjugated |
Storage & Handling
−| Storage | Maintain refrigerated at 2-8°C for up to 2 weeks. For long term storage store at -20°C in small aliquots to prevent freeze-thaw cycles. |
|---|---|
| Form/Appearance | Liquid |
| Buffer/Preservatives | 0.01M TBS (pH7.4) with 1% rAlbumin, 0.02% Proclin300 and 50% Glycerol. |
| Concentration | 1mg/ml |
| Expiration Date | 12 months from date of receipt. |
| Disclaimer | For research use only |
Alternative Names
−Similar Products
−BACE1 Rabbit Polyclonal Antibody [orb10164]
ICC, IF, IHC-Fr, IHC-P, WB
Canine, Gallus, Guinea pig, Porcine, Rabbit
Human, Mouse, Rat
Rabbit
Polyclonal
Unconjugated
50 μl, 100 μl, 200 μlAPPBP1 Rabbit Polyclonal Antibody [orb155706]
IF, IHC-Fr, IHC-P, WB
Canine, Equine, Porcine, Rabbit
Human, Mouse, Rat
Rabbit
Polyclonal
Unconjugated
50 μl, 100 μl, 200 μlAPP antibody [C2C3], C-term [orb555949]
ICC, IHC-Fr, IHC-P, WB
Human, Mouse, Rat
Rabbit
Polyclonal
Unconjugated
100 μlAmyloid-β rabbit pAb Antibody [orb771347]
ELISA, IF, IHC, WB
Human, Mouse, Rat
Polyclonal
Unconjugated
100 μlCLACP Rabbit Polyclonal Antibody [orb156380]
IF, IHC-Fr, IHC-P, WB
Bovine, Canine, Equine, Gallus, Human, Sheep
Mouse, Rat
Rabbit
Polyclonal
Unconjugated
50 μl, 100 μl, 200 μl

Quality Guarantee
Explore bioreagents carefree to elevate your research. All our products are rigorously tested for performance. If a product does not perform as described on its datasheet, our scientific support team will provide expert troubleshooting, a prompt replacement, or a refund. For full details, please see our Terms & Conditions and Buying Guide. Contact us at support@biorbyt.com.

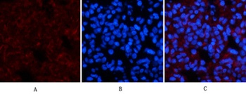
Tissue/cell: MCF7 cell, 4% Paraformaldehyde-fixed, Triton X-100 at room temperature for 20 min, Blocking buffer (normal goat serum) at 37°C for 20 min, Antibody incubation with (Amyloid Precursor Protein) polyclonal Antibody, Unconjugated (orb10119) 1:100, 90 minutes at 37°C, followed by a FITC conjugated Goat Anti-Rabbit IgG antibody at 37°C for 90 minutes, DAPI (blue) was used to stain the cell nuclei.

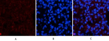
Tissue/cell: rat brain tissue, 4% Paraformaldehyde-fixed and paraffin-embedded, Antigen retrieval: citrate buffer (0.01M, pH 6.0), Boiling bathing for 15 min, Block endogenous peroxidase by 3% Hydrogen peroxide for 30 min, Blocking buffer (normal goat serum) at 37℃ for 20 min, Incubation: Anti-Amyloid Precursor Protein Polyclonal Antibody, Unconjugated (orb10119) 1:200, overnight at 4°C, followed by conjugation to the secondary antibody and DAB staining.
Quick Database Links
UniProt Details
−Documents Download
Request a Document
Protocol Information
Amyloid Precursor Protein Rabbit Polyclonal Antibody (orb10119)
Participating in our Biorbyt product reviews program enables you to support fellow scientists by sharing your firsthand experience with our products.
Login to Submit a Review







![APP antibody [C2C3], C-term](/images/pub/media/catalog/product/a/p/app-antibody_orb555949_ifa_1.jpg)
![APP antibody [C2C3], C-term](/images/pub/media/catalog/product/a/p/app-antibody_orb555949_ihc_1.jpg)
![APP antibody [C2C3], C-term](/images/pub/media/catalog/product/a/p/app-antibody_orb555949_ihc-p_1.jpg)
![APP antibody [C2C3], C-term](/images/pub/media/catalog/product/a/p/app-antibody_orb555949_wb_1.jpg)
![APP antibody [C2C3], C-term](/images/pub/media/catalog/product/a/p/app-antibody_orb555949_wb_2.jpg)
![APP antibody [C2C3], C-term](/images/pub/media/catalog/product/a/p/app-antibody_orb555949_wb_3.jpg)






