You have no items in your shopping cart.
Description
Research Area
Cancer Biology, Immunology & Inflammation, Stem Cell & Developmental Biology
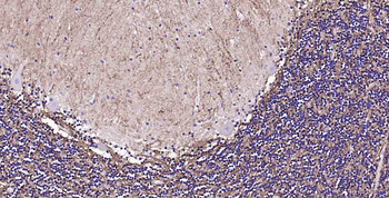
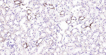
Images & Validation
−
| Tested Applications | IHC |
|---|---|
| Dilution Range | IHC 1:50-200 |
| Reactivity | Human, Rat |
Key Properties
−| Antibody Type | Primary Antibody |
|---|---|
| Host | Rabbit |
| Clonality | Monoclonal |
| Isotype | IgG |
| Clone No. | 17A30 |
| Immunogen | A synthesized peptide derived from human AQP4 |
| Target | Aquaporin-4 |
| Molecular Weight | 17 kDa |
| Purification | Affinity-chromatography |
| Conjugation | Unconjugated |
Storage & Handling
−| Storage | Maintain refrigerated at 2-8°C for up to 2 weeks. For long term storage store at -20°C in small aliquots to prevent freeze-thaw cycles. |
|---|---|
| Form/Appearance | Liquid |
| Buffer/Preservatives | Rabbit IgG in stabilizing components, phosphate buffered saline, pH 7.4, 150mM NaCl, 0.02% sodium azide and 50% glycerol. *This antibody is supplied in a stabilized formulation. Compatibility with conjugation reactions depends on the chemistry of the conjugation method used. For conjugation methods that are not compatible with the stabilizing components present in this formulation, a carrier-free antibody format is required. |
| Concentration | 0.5mg/ml |
| Expiration Date | 12 months from date of receipt. |
| Disclaimer | For research use only |
Alternative Names
−Caspase-7; CASP-7; 3.4.22.60; Apoptotic protease Mch-3; Cysteine protease LICE2; Caspase-7 subunit p20; Caspase-7 subunit p11; Casp7; Lice2, Mch3
Similar Products
−AQP4 Recombinant Rabbit Monoclonal Antibody [orb2563057]
IF, IHC-Fr, IHC-P
Mouse, Rat
Human, Mouse, Rat
Rabbit
Recombinant
Unconjugated
25 μl, 50 μl, 100 μlAQP4 Rabbit monoclonal antibody [orb2297955]
IHC
Human, Rat
Rabbit
Monoclonal
Unconjugated
25 μl, 50 μl, 100 μl

Quality Guarantee
Explore bioreagents carefree to elevate your research. All our products are rigorously tested for performance. If a product does not perform as described on its datasheet, our scientific support team will provide expert troubleshooting, a prompt replacement, or a refund. For full details, please see our Terms & Conditions and Buying Guide. Contact us at support@biorbyt.com.
Quick Database Links
Gene Symbol
Aquaporin-4
UniProt
UniProt Details
− No UniProt data available
Documents Download
Datasheet
Product Information
Request a Document
AQP4 Rabbit Monoclonal Antibody (orb865774)
Based on 0 reviews
Participating in our Biorbyt product reviews program enables you to support fellow scientists by sharing your firsthand experience with our products.
Login to Submit a Review





