You have no items in your shopping cart.
Description
Research Area
Images & Validation
−| Tested Applications | WB |
|---|---|
| Dilution Range | Western blot, 0.1-0.5μg/ml, Human, Mouse, Rat |
| Reactivity | Human, Mouse, Rat |
Key Properties
−| Antibody Type | Primary Antibody |
|---|---|
| Host | Rabbit |
| Clonality | Polyclonal |
| Isotype | Rabbit IgG |
| Immunogen | E.coli-derived human Bub1 recombinant protein (Position: V731-K1085). Human Bub1 shares 81% amino acid (aa) sequence identity with mouse Bub1. |
| Target | Mitotic checkpoint serine/threonine-protein kinase BUB1 |
| Molecular Weight | 130 kDa |
| Purification | Immunogen affinity purified. |
| Conjugation | Unconjugated |
Storage & Handling
−| Storage | Maintain refrigerated at 2-8°C for up to 2 weeks. For long term storage store at -20°C in small aliquots to prevent freeze-thaw cycles. |
|---|---|
| Form/Appearance | Lyophilized |
| Buffer/Preservatives | Each vial contains antibody formulated with stabilizing components, 0.9 mg NaCl, 0.2 mg Na2HPO4, and 0.05 mg NaN3. *This antibody is supplied in a stabilized formulation. Compatibility with conjugation reactions depends on the chemistry of the conjugation method used. For conjugation methods that are not compatible with the stabilizing components present in this formulation, a carrier-free antibody format is required. |
| Concentration | Adding 0.2 ml of distilled water will yield a concentration of 500 μg/ml. |
| Expiration Date | 12 months from date of receipt. |
| Disclaimer | For research use only |
Alternative Names
−Similar Products
−Bub1 AAMP Rabbit Polyclonal Antibody (APC) [orb2623558]
FC
Human, Mouse, Rat
Rabbit
Polyclonal
APC
100 μgBub1 AAMP Rabbit Polyclonal Antibody (HRP) [orb2623559]
ELISA, IHC, WB
Human, Mouse, Rat
Rabbit
Polyclonal
HRP
100 μgBub1 AAMP Rabbit Polyclonal Antibody (FITC) [orb2623560]
FC
Human, Mouse, Rat
Rabbit
Polyclonal
FITC
100 μgBub1 AAMP Rabbit Polyclonal Antibody (Cy3) [orb2623561]
FC
Human, Mouse, Rat
Rabbit
Polyclonal
Cy3
100 μg

Quality Guarantee
Explore bioreagents carefree to elevate your research. All our products are rigorously tested for performance. If a product does not perform as described on its datasheet, our scientific support team will provide expert troubleshooting, a prompt replacement, or a refund. For full details, please see our Terms & Conditions and Buying Guide. Contact us at support@biorbyt.com.

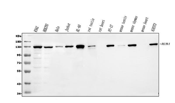
Western blot analysis of BUB1 using anti-BUB1 antibody. Electrophoresis was performed on a 5-20% SDS-PAGE gel at 70V (Stacking gel) / 90V (Resolving gel) for 2-3 hours. The sample well of each lane was loaded with 30 ug of sample under reducing conditions. Lane 1: human K562 whole cell lysates, Lane 2: human HEK293 whole cell lysates, Lane 3: human Hela whole cell lysates, Lane 4: human Jurkat whole cell lysates, Lane 5: human HL-60 whole cell lysates, Lane 6: rat testis tissue lysates, Lane 7: rat heart tissue lysates, Lane 8: rat PC-12 whole cell lysates, Lane 9: mouse testis tissue lysates, Lane 10: mouse thymus tissue lysates, Lane 11: mouse heart tissue lysates, Lane 12: mouse NIH/3T3 whole cell lysates. After electrophoresis, proteins were transferred to a nitrocellulose membrane at 150 mA for 50-90 minutes. Blocked the membrane with 5% non-fat milk/TBS for 1.5 hour at RT. The membrane was incubated with rabbit anti-BUB1 antigen affinity purified polyclonal antibody at 0.5 µg/mL overnight at 4°C, then washed with TBS-0.1% Tween 3 times with 5 minutes each and probed with a goat anti-rabbit IgG-HRP secondary antibody at a dilution of 1:5000 for 1.5 hour at RT. The signal is developed using an Enhanced Chemiluminescent detection (ECL) kit with Tanon 5200 system. A specific band was detected for BUB1 at approximately 130 kDa. The expected band size for BUB1 is at 130 kDa.
Quick Database Links
UniProt Details
−Documents Download
Request a Document
Bub1 AAMP Rabbit Polyclonal Antibody (orb215890)
Participating in our Biorbyt product reviews program enables you to support fellow scientists by sharing your firsthand experience with our products.
Login to Submit a Review