You have no items in your shopping cart.
CD27 Rabbit Monoclonal Antibody
SKU: orb866098
Description
Research Area
Epigenetics & Chromatin
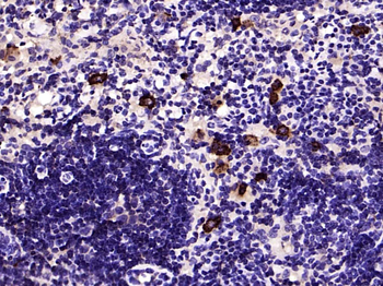
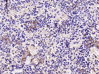
Images & Validation
−Item 1 of 1
| Tested Applications | FC, ICC, IF, WB |
|---|---|
| Dilution Range | WB 1:500-2000 ICC/IF 1:50-200 FC 1:50 |
| Reactivity | Human, Rat |
Key Properties
−| Antibody Type | Primary Antibody |
|---|---|
| Host | Rabbit |
| Clonality | Monoclonal |
| Isotype | IgG |
| Clone No. | 20C54 |
| Immunogen | A synthesized peptide derived from human CD27 |
| Target | CD27 antigen |
| Molecular Weight | 102 kDa |
| Purification | Affinity-chromatography |
| Conjugation | Unconjugated |
Storage & Handling
−| Storage | Maintain refrigerated at 2-8°C for up to 2 weeks. For long term storage store at -20°C in small aliquots to prevent freeze-thaw cycles. |
|---|---|
| Form/Appearance | Liquid |
| Buffer/Preservatives | Rabbit IgG in stabilizing components, phosphate buffered saline, pH 7.4, 150mM NaCl, 0.02% sodium azide and 50% glycerol. *This antibody is supplied in a stabilized formulation. Compatibility with conjugation reactions depends on the chemistry of the conjugation method used. For conjugation methods that are not compatible with the stabilizing components present in this formulation, a carrier-free antibody format is required. |
| Concentration | 0.5mg/ml |
| Expiration Date | 12 months from date of receipt. |
| Disclaimer | For research use only |
Alternative Names
−NF-kappa-B inhibitor alpha; I-kappa-B-alpha; IkB-alpha; IkappaBalpha; Major histocompatibility complex enhancer-binding protein MAD3; NFKBIA; IKBA, MAD3, NFKBI
Similar Products
−CD27 Recombinant Rabbit Monoclonal Antibody [orb704175]
FC, ICC, WB
Human, Rat
Human
Rabbit
Recombinant
Unconjugated
50 μl, 100 μlRabbit CD70 Recombinant Monoclonal Antibody [orb1784579]
ICC, IHC, WB
Human
Rabbit
Recombinant
Unconjugated
100 μl, 10 μl

Quality Guarantee
Explore bioreagents carefree to elevate your research. All our products are rigorously tested for performance. If a product does not perform as described on its datasheet, our scientific support team will provide expert troubleshooting, a prompt replacement, or a refund. For full details, please see our Terms & Conditions and Buying Guide. Contact us at support@biorbyt.com.

Western blot analysis of CD27 expression in Ramos cell lysate.
Quick Database Links
Gene Symbol
CD27 antigen
UniProt
UniProt Details
− No UniProt data available
Documents Download
Datasheet
Product Information
Request a Document
Protocol Information
WB
Western Blot (IB, immunoblot)
FC
Flow Cytometry
IF
Immunofluorescence
ICC
Immunocytochemistry
CD27 Rabbit Monoclonal Antibody (orb866098)
Based on 0 reviews
Participating in our Biorbyt product reviews program enables you to support fellow scientists by sharing your firsthand experience with our products.
Login to Submit a Review


![Anti-CD70 [TAN1-6]](/images/pub/media/catalog/product/NewWebsite/35/orb758813_1.png)
![Anti-CD70 [TAN1-6]](/images/pub/media/catalog/product/NewWebsite/35/orb758813_2.png)
![Anti-CD27 [LG.3A10]](/images/pub/media/catalog/product/NewWebsite/35/orb613905_1.png)
![Anti-CD27 [LG.3A10]](/images/pub/media/catalog/product/NewWebsite/35/orb613905_2.png)
![Anti-CD27 [RM27-3E5]](/images/pub/media/catalog/product/NewWebsite/35/orb613954_1.png)
![Anti-CD27 [RM27-3E5]](/images/pub/media/catalog/product/NewWebsite/35/orb613954_2.png)


