You have no items in your shopping cart.
CD33 Rabbit Polyclonal Antibody
Description
Research Area
Images & Validation
−| Tested Applications | IHC, WB |
|---|---|
| Dilution Range | Immunohistochemistry (Paraffin-embedded Section), 0.5-1μg/ml, Mouse Western blot, 0.1-0.5μg/ml, Mouse |
| Reactivity | Mouse |
Key Properties
−| Antibody Type | Primary Antibody |
|---|---|
| Host | Rabbit |
| Clonality | Polyclonal |
| Isotype | Rabbit IgG |
| Immunogen | E. coli-derived mouse CD33 recombinant protein (Position: D18-E240). Mouse CD33 shares 61.6% amino acid (aa) sequence identity with human CD33. |
| Target | Myeloid cell surface antigen CD33 |
| Molecular Weight | 26 kDa |
| Purification | Immunogen affinity purified. |
| Conjugation | Unconjugated |
Storage & Handling
−| Storage | Maintain refrigerated at 2-8°C for up to 2 weeks. For long term storage store at -20°C in small aliquots to prevent freeze-thaw cycles. |
|---|---|
| Form/Appearance | Lyophilized |
| Buffer/Preservatives | Each vial contains 4 mg Trehalose, 0.9 mg NaCl, 0.2mg Na2HPO4, 0.01 mg NaN3. |
| Concentration | Adding 0.2 ml of distilled water will yield a concentration of 500 μg/ml. |
| Expiration Date | 12 months from date of receipt. |
| Disclaimer | For research use only |
Alternative Names
−Similar Products
−Siglec-5/14 rabbit pAb Antibody [orb766875]
ELISA, IF, IHC, WB
Human, Mouse, Rat
Polyclonal
Unconjugated
50 μl, 100 μlCD33 Rabbit Polyclonal Antibody [orb10316]
ELISA, ICC, IF, IHC-Fr, IHC-P, WB
Rat
Mouse
Rabbit
Polyclonal
Unconjugated
200 μl, 50 μl, 100 μlCD33 Rabbit Polyclonal Antibody [orb377977]
IF, IHC, WB
Human, Mouse, Rat
Rabbit
Polyclonal
Unconjugated
50 μl, 100 μl, 200 μl, 30 μl

Quality Guarantee
Explore bioreagents carefree to elevate your research. All our products are rigorously tested for performance. If a product does not perform as described on its datasheet, our scientific support team will provide expert troubleshooting, a prompt replacement, or a refund. For full details, please see our Terms & Conditions and Buying Guide. Contact us at support@biorbyt.com.

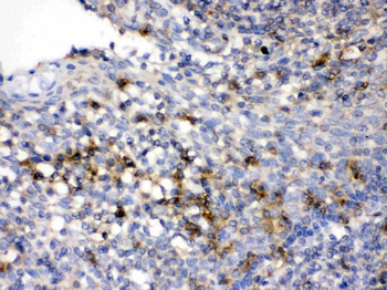
CD33 was detected in paraffin-embedded sections of mouse spleen tissues using rabbit anti-CD33 Antigen Affinity purified polyclonal antibody at 1 µg/mL. The immunohistochemical section was developed using SABC method.

Western blot analysis of CD33 expression in mosue lung extract (lane 1). CD33 at 45 KD was detected using rabbit anti-CD33 Antigen Affinity purified polyclonal antibody at 0.5 µg/mL. The blot was developed using chemiluminescence (ECL) method.
Quick Database Links
UniProt Details
−Documents Download
Request a Document
Protocol Information
CD33 Rabbit Polyclonal Antibody (orb371641)
Participating in our Biorbyt product reviews program enables you to support fellow scientists by sharing your firsthand experience with our products.
Login to Submit a Review










