You have no items in your shopping cart.
Anti-CD4 [YNB46.1.8 (Campath-9H)]
Description
Research Area
Images & Validation
−| Tested Applications | FC, IHC, IHC-Fr |
|---|---|
| Reactivity | Human |
Key Properties
−| Host | Rat |
|---|---|
| Clonality | Monoclonal |
| Isotype | Rat IgG |
| Clone No. | YNB46.1.8 (Campath-9H) |
| Immunogen | Rat T-cell line (NB2) transfected with the human CD4. |
| Target | CD4 |
| Purity | Purified |
| Conjugation | Unconjugated |
Storage & Handling
−| Storage | Maintain refrigerated at 2-8°C for up to 2 weeks. For long term storage store at -20°C in small aliquots to prevent freeze-thaw cycles. |
|---|---|
| Buffer/Preservatives | PBS with 0.02% Proclin 300. |
| Concentration | 1 mg/ml |
| Expiration Date | 12 months from date of receipt. |
| Disclaimer | For research use only |
Alternative Names
−Similar Products
−
Quality Guarantee
Explore bioreagents carefree to elevate your research. All our products are rigorously tested for performance. If a product does not perform as described on its datasheet, our scientific support team will provide expert troubleshooting, a prompt replacement, or a refund. For full details, please see our Terms & Conditions and Buying Guide. Contact us at support@biorbyt.com.
![Anti-CD4 [YNB46.1.8 (Campath-9H)]](/images/pub/media/catalog/product/NewWebsite/35/orb348906_1.png)
Flow-cytometry using anti-CD4 antibody YNB46.1.8 (Campath-9H) Human lymphocytes were stained with an isotype control (orb256390, panel A) or the rabbit-chimeric version of YNB46.1.8/Campath-9H (orb348906, panel B) at a concentration of 1 µg/ml for 30 mins at RT. After washing, bound antibody was detected using a AF488 conjugated donkey anti-rabbit antibody and cells analysed on a FACSCanto flow-cytometer.
![Anti-CD4 [YNB46.1.8 (Campath-9H)]](/images/pub/media/catalog/product/NewWebsite/35/orb348906_2.png)
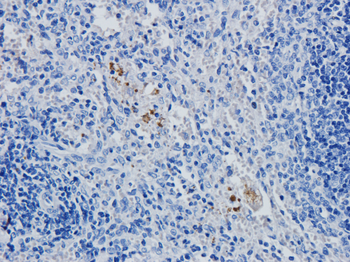
Immunohistochemical staining of rabbit spleen using anti-CD4 antibody YNB46.1.8 (Campath-9H) Anti-CD4 staining of formaldehyde fixed paraffin embedded rabbit spleen tissue, at 40x magnification. The rat IgG1-chimeric version of YNB46.1.8 (orb348926) was used to stain samples at a concentration of 5 µg/ml.
![Anti-CD4 [YNB46.1.8 (Campath-9H)]](/images/pub/media/catalog/product/NewWebsite/35/orb348906_3.png)
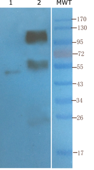
Western Blot using anti-CD4 antibody. Mouse thymus (lane 1) and mouse spleen (lane 2).
Quick Database Links
UniProt Details
−Documents Download
Request a Document
Protocol Information
Anti-CD4 [YNB46.1.8 (Campath-9H)] (orb348906)
Participating in our Biorbyt product reviews program enables you to support fellow scientists by sharing your firsthand experience with our products.
Login to Submit a Review![Anti-CD4 [YNB46.1.8 (Campath-9H)]](/images/pub/media/catalog/product/NewWebsite/35/orb348926_1.png)
![Anti-CD4 [YNB46.1.8 (Campath-9H)]](/images/pub/media/catalog/product/NewWebsite/35/orb348926_2.png)
![Anti-CD4 [YNB46.1.8 (Campath-9H)]](/images/pub/media/catalog/product/NewWebsite/35/orb348926_3.png)