You have no items in your shopping cart.
Description
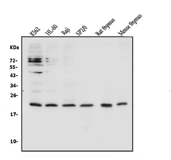
Images & Validation
−| Tested Applications | WB |
|---|---|
| Dilution range | WB: 1-500:1000 |
| Reactivity | Human, Mouse, Rat |
Key Properties
−| Antibody Type | Primary Antibody |
|---|---|
| Host | Rabbit |
| Clonality | Polyclonal |
| Immunogen | KLH-conjugated synthetic peptide encompassing a sequence within the center region of human CD69. The exact sequence is proprietary. |
| Purification | The antibody was purified by immunogen affinity chromatography. |
| Conjugation | Unconjugated |
Storage & Handling
−| Storage | Maintain refrigerated at 2-8°C for up to 2 weeks. For long term storage store at -20°C in small aliquots to prevent freeze-thaw cycles. |
|---|---|
| Form/Appearance | Liquid in 0.42% Potassium phosphate, 0.87% Sodium chloride, pH 7.3, 30% glycerol, and 0.01% sodium azide. |
| Disclaimer | For research use only |
Alternative Names
−Similar Products
−CD69 antibody [orb13326]
ICC, IF, IHC-P, WB
Guinea pig, Human, Mouse, Rat
Rabbit
Polyclonal
Unconjugated
100 μgCD69 Rabbit Polyclonal Antibody [orb500673]
FC, WB
Canine, Rat
Human, Mouse
Rabbit
Polyclonal
Unconjugated
100 μl, 200 μl, 50 μlHuman C-Type Lectin Domain Family 2, Member C (CLEC2C) ELISA Kit [orb777619]
Human
15.63-1000 pg/mL
6 pg/mL
48 T, 96 TCD69 Antibody [orb654412]
ELISA, FC, ICC, IF, IHC, WB
Human, Mouse, Rat
Rabbit
Polyclonal
Unconjugated
100 μg

Quality Guarantee
Explore bioreagents carefree to elevate your research. All our products are rigorously tested for performance. If a product does not perform as described on its datasheet, our scientific support team will provide expert troubleshooting, a prompt replacement, or a refund. For full details, please see our Terms & Conditions and Buying Guide. Contact us at support@biorbyt.com.

Western blot analysis of CD69 expression in HEK293T (A), Hela (B), H446 (C), mouse lung (D), rat lung (E), rat heart (F) whole cell lysates. (Predicted band size: 22 kD; Observed band size: 33 kD)
Quick Database Links
UniProt Details
−NCBI Gene Details
−Documents Download
Request a Document
CD69 Antibody (orb315764)
Participating in our Biorbyt product reviews program enables you to support fellow scientists by sharing your firsthand experience with our products.
Login to Submit a Review


















