You have no items in your shopping cart.
CREB Mouse Monoclonal Antibody
Description
Images & Validation
−| Tested Applications | WB |
|---|---|
| Dilution Range | WB (1/500 - 1/1000), IH (1/50 - 1/200) |
| Reactivity | Human, Mouse, Rat |
Key Properties
−| Antibody Type | Primary Antibody |
|---|---|
| Host | Mouse |
| Clonality | Monoclonal |
| Isotype | Mouse IgG1 kappa |
| Immunogen | Recombinant fusion protein of human CREB. The exact sequence is proprietary. |
| Target | CREB1 |
| Purification | This antibody is purified through a protein G column. |
| Conjugation | Unconjugated |
Storage & Handling
−| Storage | Maintain refrigerated at 2-8°C for up to 2 weeks. For long term storage store at -20°C in small aliquots to prevent freeze-thaw cycles. |
|---|---|
| Form/Appearance | Liquid |
| Buffer/Preservatives | PBS, pH 7.3, 30% glycerol, and 0.01% sodium azide. |
| Expiration Date | 12 months from date of receipt. |
| Disclaimer | For research use only |
Alternative Names
−Similar Products
−ATF2 Antibody [orb1410149]
FC, IF, WB
Human
Mouse
Monoclonal
Unconjugated
20 μg, 100 μg, 100 μg (without BSA and Azide)CREB-1 Mouse Monoclonal Antibody [orb499769]
IF, IHC-Fr, IHC-P, WB
Mouse
Human, Mouse
Mouse
Monoclonal
Unconjugated
200 μg, 200 μl, 50 μl, 100 μlCREB CREB1 Rabbit Monoclonal Antibody [orb547388]
FC, ICC, IF, IHC, IP, WB
Human, Mouse, Rat
Rabbit
Monoclonal
Unconjugated
100 μl

Quality Guarantee
Explore bioreagents carefree to elevate your research. All our products are rigorously tested for performance. If a product does not perform as described on its datasheet, our scientific support team will provide expert troubleshooting, a prompt replacement, or a refund. For full details, please see our Terms & Conditions and Buying Guide. Contact us at support@biorbyt.com.

Western blot analysis of CREB expression in A549 (A), Neuro2a (B), NIH3T3 (C), C6 (D) whole cell lysates. (Predicted band size: 35 kD; Observed band size: 43 kD)

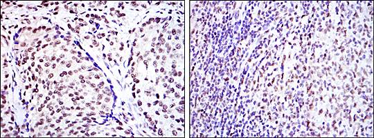
Immunohistochemical analysis of CREB staining in human prostate cancer formalin fixed paraffin embedded tissue section. The section was pre-treated using heat mediated antigen retrieval with sodium citrate buffer (pH 6.0). The section was then incubated with the antibody at room temperature and detected using an HRP conjugated compact polymer system. DAB was used as the chromogen. The section was then counterstained with haematoxylin and mounted with DPX.
Documents Download
Request a Document
CREB Mouse Monoclonal Antibody (orb1473980)
Participating in our Biorbyt product reviews program enables you to support fellow scientists by sharing your firsthand experience with our products.
Login to Submit a Review

















