You have no items in your shopping cart.
Cullin 3 Antibody
Description
Research Area
Images & Validation
−| Tested Applications | IHC, WB |
|---|---|
| Dilution range | WB: 1-500-1-1000, IHC-P: 1-100-1-200 |
| Reactivity | Bovine, Human, Mouse, Rat |
Key Properties
−| Antibody Type | Primary Antibody |
|---|---|
| Host | Rabbit |
| Clonality | Polyclonal |
| Immunogen | KLH-conjugated synthetic peptide encompassing a sequence within the N-term region of human Cullin 3. The exact sequence is proprietary. |
| Purification | The antibody was purified by immunogen affinity chromatography. |
| Conjugation | Unconjugated |
Storage & Handling
−| Storage | Maintain refrigerated at 2-8°C for up to 2 weeks. For long term storage store at -20°C in small aliquots to prevent freeze-thaw cycles. |
|---|---|
| Form/Appearance | Liquid in 0.42% Potassium phosphate, 0.87% Sodium chloride, pH 7.3, 30% glycerol, and 0.01% sodium azide. |
| Disclaimer | For research use only |
Alternative Names
−Similar Products
−CUL-3 rabbit pAb Antibody [orb764949]
ELISA, IF, IHC, WB
Human, Mouse
Polyclonal
Unconjugated
100 μl, 50 μl

Quality Guarantee
Explore bioreagents carefree to elevate your research. All our products are rigorously tested for performance. If a product does not perform as described on its datasheet, our scientific support team will provide expert troubleshooting, a prompt replacement, or a refund. For full details, please see our Terms & Conditions and Buying Guide. Contact us at support@biorbyt.com.

Western blot analysis of Cullin 3 expression in mouse testis (A), rat testis (B) whole cell lysates. (Predicted band size: 88 kD; Observed band size: 89 kD)

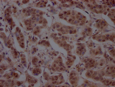
Immunohistochemical analysis of Cullin 3 staining in human tonsil formalin fixed paraffin embedded tissue section. The section was pre-treated using heat mediated antigen retrieval with sodium citrate buffer (pH 6.0). The section was then incubated with the antibody at room temperature and detected using an HRP conjugated compact polymer system. DAB was used as the chromogen. The section was then counterstained with haematoxylin and mounted with DPX.
Documents Download
Request a Document
Protocol Information
Filter by Applications
Filter by Species
Yifei Dong 1 # , Wenwen Gao 1 # , Kai Liu 1 , Cai Lin 2 , Muhammad Usman 3 , Juan J. Loor 3 , Guojin Li 1 , Liguang Cao 1 , Zifeng Yang 1 , Jianchun Luo 1 , Depeng Li 1 , Qianwen Sun 1 , Lin Lei 1 , Xiliang Du 1 , Yuxiang Song 1 , Guowen Liu 1 , Xinwei Li 1 Cullin3 mitigates NEFA-induced oxidative stress in mammary epithelial cells: involvement of BCL2/BECN1 and autophagy Journal of Dairy Science, (2025)
Applications
Reactivity
Cullin 3 Antibody (orb214784)
Participating in our Biorbyt product reviews program enables you to support fellow scientists by sharing your firsthand experience with our products.
Login to Submit a Review












