You have no items in your shopping cart.
Description
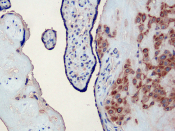
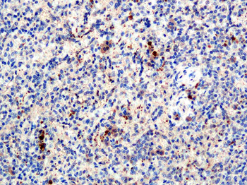
Images & Validation
−| Tested Applications | WB |
|---|---|
| Dilution range | WB: 1-500-2000 |
| Reactivity | Human, Mouse, Rat |
Key Properties
−| Antibody Type | Primary Antibody |
|---|---|
| Host | Rabbit |
| Clonality | Polyclonal |
| Immunogen | Recombinant fusion protein of human CXCL2. The exact sequence is proprietary. |
| Purification | The antibody was purified by immunogen affinity chromatography. |
| Conjugation | Unconjugated |
Storage & Handling
−| Storage | Maintain refrigerated at 2-8°C for up to 2 weeks. For long term storage store at -20°C in small aliquots to prevent freeze-thaw cycles. |
|---|---|
| Form/Appearance | Liquid in 0.42% Potassium phosphate, 0.87% Sodium chloride, pH 7.3, 30% glycerol, and 0.01% sodium azide. |
| Disclaimer | For research use only |
Alternative Names
−Similar Products
−GRO Alpha Rabbit Polyclonal Antibody [orb183809]
IF, IHC-Fr, IHC-P
Mouse, Rat
Human
Rabbit
Polyclonal
Unconjugated
100 μl, 200 μl, 50 μlRat Growth Regulated Oncogene Beta (GROb) ELISA Kit [orb775239]
Rat
15.63-1000 pg/mL
5.9 pg/mL
96 T, 48 TMouse Growth Regulated Oncogene Beta (GROb) ELISA Kit [orb775248]
Mouse
15.63-1000 pg/mL
5.9 pg/mL
48 T, 96 THuman Growth Regulated Oncogene Beta (GROb) ELISA Kit [orb775943]
Human
15.63-1000 pg/mL
6 pg/mL
96 T, 48 TCXCL2/GRO Beta Rabbit Polyclonal Antibody [orb10749]
FC, IF, IHC-Fr, IHC-P, WB
Bovine, Equine, Porcine, Rabbit, Sheep
Human, Mouse, Rat
Rabbit
Polyclonal
Unconjugated
200 μl, 50 μl, 100 μl

Quality Guarantee
Explore bioreagents carefree to elevate your research. All our products are rigorously tested for performance. If a product does not perform as described on its datasheet, our scientific support team will provide expert troubleshooting, a prompt replacement, or a refund. For full details, please see our Terms & Conditions and Buying Guide. Contact us at support@biorbyt.com.

Western blot analysis of CXCL2 expression in rat lung (A) whole cell lysates. (Predicted band size: 11 kD; Observed band size: 11 kD)
Documents Download
Request a Document
CXCL2 Antibody (orb666410)
Participating in our Biorbyt product reviews program enables you to support fellow scientists by sharing your firsthand experience with our products.
Login to Submit a Review







