You have no items in your shopping cart.
Estrogen Inducible Protein pS2/TFF1 Antibody
Description
Images & Validation
−| Tested Applications | IHC, WB |
|---|---|
| Reactivity | Rat |
| Application Notes |
Key Properties
−| Antibody Type | Primary Antibody |
|---|---|
| Host | Rabbit |
| Clonality | Polyclonal |
| Isotype | Rabbit IgG |
| Immunogen | A synthetic peptide corresponding to a sequence in the middle region of mouse Estrogen Inducible Protein pS2, identical to the related rat sequence. |
| Molecular Weight | 12 kDa |
| Purification | Immunogen affinity purified. |
| Conjugation | Unconjugated |
Storage & Handling
−| Storage | Maintain refrigerated at 2-8°C for up to 2 weeks. For long term storage store at -20°C in small aliquots to prevent freeze-thaw cycles. |
|---|---|
| Form/Appearance | Lyophilized |
| Concentration | Adding 0.2 ml of distilled water will yield a concentration of 500 μg/ml. |
| Disclaimer | For research use only |
Alternative Names
−Similar Products
−Estrogen Inducible Protein pS2 / TFF1 Antibody [orb606848]
FACS, IF, IHC-P
Human
Mouse
Monoclonal
Unconjugated
20 μg, 100 μgEstrogen Inducible Protein pS2/Tff1 Antibody [orb402459]
ELISA, IHC, WB
Mouse
Rabbit
Polyclonal
Unconjugated
100 μgEstrogen Inducible Protein pS2/TFF1 Antibody [orb76203]
IHC, WB
Human
Rabbit
Polyclonal
Unconjugated
100 μg

Quality Guarantee
Explore bioreagents carefree to elevate your research. All our products are rigorously tested for performance. If a product does not perform as described on its datasheet, our scientific support team will provide expert troubleshooting, a prompt replacement, or a refund. For full details, please see our Terms & Conditions and Buying Guide. Contact us at support@biorbyt.com.

Western blot analysis of Rat Stomach Tissue Lysate using TFF1 antibody

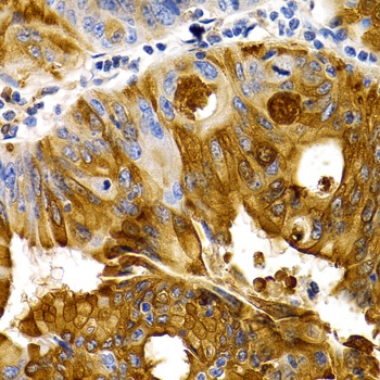
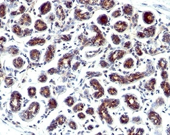
Immunohistochemical analysis of formalin-fixed paraffin embedded Rat Intestine Tissue using TFF1 antibody
Quick Database Links
UniProt Details
−Documents Download
Request a Document
Protocol Information
Estrogen Inducible Protein pS2/TFF1 Antibody (orb76204)
Participating in our Biorbyt product reviews program enables you to support fellow scientists by sharing your firsthand experience with our products.
Login to Submit a Review















